Ga naar de hoofdinhoud
Top

Slijtage. Digitaal verder?

Toepassing van digitale technieken

  • 01-12-2014
Gepubliceerd in:
share
DELEN

Deel dit onderdeel of sectie (kopieer de link)

  • Optie A:
    Klik op de rechtermuisknop op de link en selecteer de optie “linkadres kopiëren”
  • Optie B:
    Deel de link per e-mail
insite
ZOEKEN

Samenvatting

Al in 1987 maakte de tandheelkunde kennis met CAD/CAM door de introductie van de CEREC 1. Inmiddels blijkt uit langetermijnonderzoek dat de inlays afkomstig van dit freessysteem het goed doen.1,2 In de afgelopen 25 jaar heeft de digitale ontwikkeling niet stilgestaan en inmiddels is deze dan ook niet meer weg te denken uit de dagelijkse praktijk. Uit de literatuur blijkt dat deze techniek ook een toegevoegde waarde kan hebben bij de behandeling van (complexe) gebitsslijtage.3,4 Het toepassen van deze digitale technieken is aan de Universiteit van Groningen uitgewerkt tot het Digitaal Rehabilitatie Concept (DRC).
Erik-Jan Muts (MSc) is tandarts (Groningen, 2013) en is momenteel werkzaam bij MP3 Tandartsen te Apeldoorn en Beekmans Tandartsen te Laren.
De bij dit artikel behorende literatuuropgave kan worden opgevraagd via het e-mailadres <redactie-tp@planet.nl>
Momenteel zijn er geen evidence based-richtlijnen voor de behandeling van gebitsslijtage.5 De best beschikbare literatuur geeft echter aan dat het verstandig is eerst een tijdelijke testfase in te lassen voordat wordt overgegaan naar de definitieve fase van een rehabilitatie.6 Logisch, want zo kan men functie, esthetiek, pasvorm en acceptatie van beetverhoging controleren en waar nodig aanpassen. Juist in het toepassen van deze testfase kan CAD/CAM een groot voordeel opleveren. Door in plaats van met mallen te werken de diagnostische opwas te scannen en vervolgens te frezen uit PMMA, heb je als behandelaar meer controle over de uiteindelijke occlusie en articulatie en ben je verzekerd van een homogene (tijdelijke) restauratie zonder porositeit en/of luchtbellen.3,4
Door de opkomst van kunstharsgemodificeerde keramieken, zoals Lava Ultimate (3M Espe), Vita Enamic (Vita) en Ambarino (Creamed), is het mogelijk de testfase te combineren met de definitieve fase. De genoemde materialen laten zich namelijk eenvoudig aanpassen. In een eerder beschreven casus (‘Slijtage. En nu?’ - TP december 2013) is deze behandeltechniek toegepast in combinatie met een volledig digitale workflow volgens het Digitaal Rehabilitatie Concept (DRC).

Casus

De uitgangssituatie en het voorwerk zijn reeds uitvoerig besproken in het hierboven genoemde decembernummer van de TP. Er is bij Peter sprake van ernstige gebitsslijtage. Aan de hand van uitvoerig onderzoek hadden we al belangrijke stappen genomen en referentiepunten vastgelegd. Met behulp van een digital smile design (DSD) werd duidelijk hoeveel de frontelementen verlengd moeten worden voor een fraai eindresultaat (afbeelding 1 - 2 ).
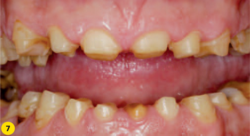
Er heeft een enorm verlies aan klinische kroonhoogte plaatsgevonden (afbeelding 3 - 4 ) en er is in het verleden al uitgebreid gerestaureerd. Met behulp van de DSD kan worden geschat hoe groot de toename in beethoogte moet worden. Bij Peter ben ik uitgegaan van een beetverhoging van 8 mm. Dit is ruim meer dan de zogenaamde ‘comfortzone’ van 5 mm, maar gezien zijn freeway space (FWS) van 15 mm is het onwaarschijnlijk dat zich klachten zullen ontwikkelen als gevolg van de beetverhoging.7

Behandeling

Omdat we voor Peter de kosten zo laag mogelijk moesten houden, hebben we besloten met een volledig digitale workflow te werken en de tijdelijke testfase te vervangen door een definitieve testfase met Lava Ultimate. Voor deze behandelmethode maken we gebruik van intraoraal scannen, digitaal opwassen (CAD) en computergestuurde fabricage (CAM). De intraorale scanners lijken tegenwoordig goed genoeg om volledige kaken te scannen en ingezet te worden bij de behandeling van ernstige slijtage.8,9
Afb. 1
De uitgangssituatie voor behandeling.
Afbeelding vergroten
Afb. 2
Het Digital Smile Design als richtlijn voor het na te streven resultaat.
Afbeelding vergroten
Afb. 3
Het front toont meer dan twee derde verlies van klinische kroonhoogte. Tegen verwachting zijn alle (!) frontelementen nog vitaal.
Afbeelding vergroten
Afb. 4
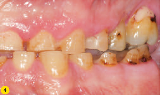
Ook in de zijdelingse delen is de slijtage voortgeschreden tot meer dan de helft van de klinische kroonhoogte.
Afbeelding vergroten
Afb. 5
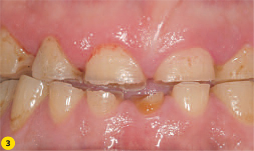
Elementen zijn al uitgebreid gerestaureerd.
Afbeelding vergroten

Fase 1 – Prepareren

Voorafgaand aan het scannen worden alle elementen zo minimaal mogelijk geprepareerd (afbeelding 6 - 7 ). Ik heb er bewust voor gekozen om de elementen te prepareren vanwege de hoge restauratiegraad, het definitieve karakter van de behandeling en de grote toename in beethoogte. Daarnaast vereenvoudigt een preparatiegrens de communicatie met de tandtechnicus en het cementeren van de restauraties. Waar mogelijk ben ik met de preparatiegrens boven de meetlijn van het element gebleven. Hierdoor blijft zoveel mogelijk massa van het element intact.
Afb. 6
Minimale preparatie van de bovenfrontelementen.
Afbeelding vergroten
Afb. 7
Minimale preparatie van de boven- en onderkaak.
Afbeelding vergroten
Afb. 8
De mock-up functioneert als ‘stop’ in verticale zin als de centrale relatie wordt vastgelegd.
Afbeelding vergroten
Afb. 9
Door de Futar Dbuccaal weg te snijden, kunnen de beetjes gebruikt worden tijdens het digitaal vastleggen van de beet.
Afbeelding vergroten
Afb. 10
De retractiedraadjes voor het aanbrengen van de IDS kunnen ook meteen gebruikt worden 10 voor het digitaal afdrukken.
Afbeelding vergroten

Fase 2 – Vastleggen centrale relatie in nieuwe beethoogte

Het is belangrijk de juiste beethoogte vast te leggen in centrale relatie voordat we beginnen met scannen. Op deze manier kan de boven- en onderkaak meteen al op de juiste manier digitaal gepositioneerd worden tijdens het uitvoeren van de beetregistratie.
Met behulp van een (snelle) mock-up met composiet wordt een beetverhoging van 8 mm vastgelegd (afbeelding 8 ) en kan de centrale relatie worden vastgelegd met Futar D (Kettenbach) (afbeelding 9 ).

Fase 3 – Immediate dentine sealing

Om een optimale hechting mogelijk te maken en de pulpa zo goed mogelijk te beschermen, heb ik gebruikgemaakt van immediate dentine sealing (IDS). Hiervoor heb ik alle elementen drooggelegd met een retractiedraadje (Ultradent) (afbeelding 10 ) en vervolgens etsen, primen en bonden met Optibond FL (Kerr). Het is belangrijk om na het uitharden van de bonding nog een keer langdurige te polymeriseren met glycerine gel De-Ox (Ultradent) om zo de zuurstofinhibitie te minimaliseren.
Om er zeker van te zijn dat de outline overal vrij is van bonding, loop ik deze na met een ronde diamantboor. Daarna heb ik de elementen heel licht gepolijst met een zacht borsteltje om te voorkomen dat het titaniumdioxidepoeder (nodig om te kunnen scannen) hecht aan de zuurstofinhibitielaag.

Fase 4 – Digitaal afdrukken

Voor het digitaal afdrukken heb ik gebruikgemaakt van de Lava COS (3M Espe). Inmiddels is zijn opvolger, de True Definition Scanner (3M Espe), al op de markt. Het voordeel van digitaal afdrukken is dat je ook meteen eenvoudig de preparaties kunt controleren (afbeelding 11 ).

Fase 5 – Digitale opwas

Vervolgens begint het lab met de digitale opwas (afbeelding 12 - 14 ). Tijdens de opwas wordt uitgegaan van het mutual protected occlusion-concept, waarbij een correcte hoektand- en frontgeleiding een belangrijke rol speelt.10 De digitale opwas kan digitaal gecontroleerd worden in het gezicht van de patiënt volgens het DSD-principe (afbeelding 15 ). Daarna wordt goedkeuring gegeven om alle restauraties te frezen.
Afb. 11
Digitale afdruk van de preparaties in de boven- en onderkaak. Door de beetregistratie uit te voeren in de gewenste beethoogte (in CR) staan de afdrukken meteen in de goede positie.
Afbeelding vergroten
Afb. 12
Palatinaal aanzicht van de preparaties; de outline is overal vastgelegd.
Afbeelding vergroten
Afb. 13
Palatinaal aanzicht van de digitale opwas.
Afbeelding vergroten
Afb. 14
Frontaal aanzicht van de digitale opwas.
Afbeelding vergroten
Afb. 15
De digitale opwas kan met behulp van het digital smile design-principe worden gecheckt.
Afbeelding vergroten
Afb. 16
Alle elementen onder cofferdam mede met behulp van floss-ligatuurtjes.
Afbeelding vergroten
Afb. 17
De verschillende stappen om Lava Ultimate te individualiseren: (a) opruwen, (b) schoonmaken, (c) bonden en (d) polymeriseren.
Afbeelding vergroten
Afb. 18
Vervolgens: (e) aanbrengen staining, (f) verdelen staining, (g) polymeriseren en (h) eindresultaat.
Afbeelding vergroten
Afb. 19
Voorbewerken van de Lava Ultimate-restauraties: (a) begin, (b) zandstralen en (c) schoonmaken.
Afbeelding vergroten
Afb. 20
Vervolg: (d) dof uiterlijk na schoonmaken, (e) bonden en (f) applicatie cement.
Afbeelding vergroten

Fase 6 – Frezen en individualisatie

Het frezen en afwerken van de Lava Ultimate-restauraties gebeurt in het tandtechnisch laboratorium. Voor het cementeren heb ik enkele restauraties nog geïndividualiseerd. Dit is mogelijk door de Lava Ultimate-restauratie op te ruwen met een fijne diamantboor, schoon te maken met aceton en vervolgens te bonden met Scotchbond Univseral (3M Espe) en daarna te polymeriseren. Het aanbrengen van staining Brown Kolor + Plus (Kerr) kan eerst met een fijne sonde en daarna met een endovijl. Gebruik de staining met mate (afbeelding 17 - 18 ).

Fase 7 – Cementeren

Het cementeren doe ik volledig onder cofferdam, dat geeft meer controle (afbeelding 16 ). Nadat alle elementen onder cofferdam zijn gelegd (tip: maak veel gebruik van floss-ligatuurtjes) moeten de Lava Ultimates worden voorbewerkt. Belangrijk is dat de restauraties goed schoon worden gemaakt in een ultrasoon trilbad met alcohol. Daarna worden de restauraties gezandstraald met CoJet (3M Espe) totdat het oppervlak egaal dof is. Vervolgens schoonmaken met aceton, of opnieuw in het trilbad. Daarna kan Scotchbond Universal aangebracht worden (minimaal 20 seconden inwerken en vervolgens 5 seconden met lucht blazen) en adhesief cement RelyX Ultimate (3M Espe) (afbeelding 19 - 20 ).
Afb. 21
Zandstralen van de IDS-laag met CoJet.
Afbeelding vergroten
Afb. 22
Etsen van de preparatie. Wanneer nodig kan gebruikgemaakt worden van teflontape.
Afbeelding vergroten
Afb. 23
Applicatie van bonding Scotchbond Universal.
Afbeelding vergroten
Afb. 24
Gebruik van glycerine-gel.
Afbeelding vergroten
Afb. 25
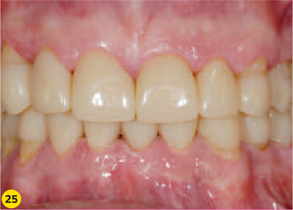
Resultaat direct na cementeren (frontaal aanzicht).
Afbeelding vergroten
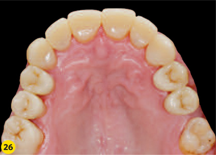
Afb. 26
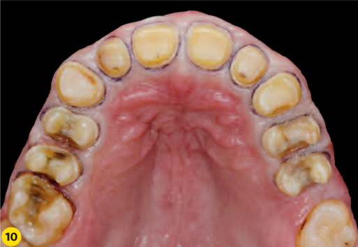
Resultaat direct na cementeren (palatinaal aanzicht).
Afbeelding vergroten
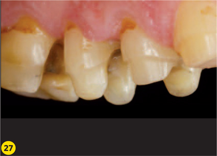
Afb. 27
1e sextant na prepareren.
Afbeelding vergroten
Afb. 28
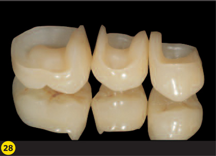
Restauraties van Lava Ultimate voor het 1e sextant.
Afbeelding vergroten
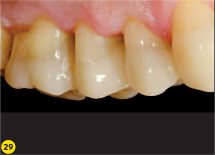
Afb. 29
1e sextant na cementeren. De buccale laesies zijn gerestaureerd met direct composiet.
Afbeelding vergroten
Afb. 30
Frontaal aanzicht na cementeren (extraoraal).
Afbeelding vergroten
Afb. 31
Glimlach voor behandeling.
Afbeelding vergroten
Afb. 32
Glimlach na behandeling.
Afbeelding vergroten
Afb. 33
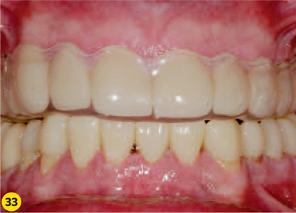
Dieptrekmal als tijdelijke bescherming.
Afbeelding vergroten
Afb. 34
Brux-Checker nadat deze 1 nacht gedragen is.
Afbeelding vergroten
Op elementniveau wordt eerst gezandstraald, daarna geëtst en vervolgens gebond (afbeelding 21 - 23 ). Nadat de restauratie is gepositioneerd moet relatief snel gewerkt worden aangezien RelyX Ultimate een dual-cure cement is. Na het grof verwijderen van de overmaat wordt kort gepolymeriseerd, vervolgens wordt de overige overmaat netjes verwijderd en lang gepolymeriseerd. Hierna gebruik ik glycerine-gel De-Ox en polymeriseer nogmaals 20 seconden om de zuurstofinhibitielaag te minimaliseren (afbeelding 24 ).

Fase 8 - Nazorg

Direct nadat alle restauraties zijn geplaatst wordt de occlusie en articulatie gecheckt en waar nodig aangepast. Dit kan eenvoudig en vrijwel zonder problemen omdat we gebruik hebben gemaakt van een monolithisch composietkeramiek dat zich goed laat polijsten. Tevens heb ik een alginaatafdruk gemaakt en bij de tandtechnicus een dieptrekmal laten maken voor tijdelijke bescherming (afbeelding 33 ). Ook wordt direct een Brux-Checker (Scheu-Dental) gemaakt (afbeelding 34 ). Dit folie wordt 1 nacht gedragen, waarna je precies kunt zien waar nog problemen zitten in de occlusie en articulatie en deze zo nodig aanpassen.
Twee weken later is de Michigan-splint klaar die de dieptrekmal vervangt. Vanuit restauratief oogpunt is regelmatige controle erg belangrijk. Occlusie en articulatie worden telkens geëvalueerd en, wanneer nodig, aangepast.

Nabeschouwing

Vandaag de dag is het goed mogelijk om volledig digitaal te rehabiliteren en daarvoor kan het Digitaal Rehabilitatie Concept als richtlijn worden gebruikt. Echter, het gebruik van duidelijke referentiepunten is noodzakelijk omdat er (naar mijn weten) nog geen digitale facebow bestaat die kan communiceren met de laboratoriumsoftware voor het design. Dit maakt het lastig om esthetisch en functioneel voorspelbaar te werken. Door de tijdelijke testfase met PMMA over te slaan en direct te kiezen voor een definitieve testfase met Lava Ultimate wordt het weliswaar goedkoper, maar ook moeilijker omdat men wel in één keer redelijk goed moet zitten. Kleine aanpassingen zijn echter geen probleem en daar leent het materiaal zich uitermate goed voor.
Met dank aan Patrick Oosterwijk (TTL Oosterwijk) en Xavier Deleersnijder (Elysee Dental).

Onze productaanbevelingen

BSL Tandarts Totaal

Met BSL Tandarts Totaal houdt u eenvoudig en efficiënt uw vak bij. Met dit abonnement krijgt u tijdschrift TandartsPraktijk in de bus, heeft u toegang tot een groot aantal tandheelkundige boeken en geaccrediteerde nascholing, waaronder de TP Kennistoetsen. Alles in uw eigen tijd en wanneer het u het beste uitkomt. Op BSL Tandarts Totaal vindt u betrouwbare en actuele vakinformatie om u nóg beter te maken in uw vak.


TandartsPraktijk

TandartsPraktijk informeert u over de belangrijkste ontwikkelingen in de tandheelkunde en tandtechniek door praktisch toepasbare klinische artikelen en herkenbare casuïstiek, toegelicht aan de hand van duidelijke kleurenfoto's, röntgenfoto's en tekeningen.

Proefabonnement BSL Tandarts Totaal

Met BSL houdt u eenvoudig en efficiënt uw vak bij. Met dit proefabonnement krijgt u toegang tot een geselecteerd gedeelte van de online bibliotheek. Zo kan u gebruik maken van de online boeken, één e-learning, één web-tv en een aantal video's. 


Tandarts Totaal Proefabonnement 

eerste maand gratis: € 0,-

share
DELEN

Deel dit onderdeel of sectie (kopieer de link)

  • Optie A:
    Klik op de rechtermuisknop op de link en selecteer de optie “linkadres kopiëren”
  • Optie B:
    Deel de link per e-mail
Titel
Slijtage. Digitaal verder?
Toepassing van digitale technieken
Auteur
Erik-Jan Muts, MSc
Publicatiedatum
01-12-2014
Uitgeverij
Bohn Stafleu van Loghum
Gepubliceerd in
Tandartspraktijk / Uitgave 12/2014
Print ISSN: 0167-1685
Elektronisch ISSN: 1875-6808
DOI
https://doi.org/10.1007/s12496-014-0137-2