Ga naar de hoofdinhoud
Top

Is the diagnostic validity of conventional radiography for Lisfranc injury acceptable?

  • Open Access
  • 01-12-2023
  • Research
Gepubliceerd in:
share
DELEN

Deel dit onderdeel of sectie (kopieer de link)

  • Optie A:
    Klik op de rechtermuisknop op de link en selecteer de optie “linkadres kopiëren”
  • Optie B:
    Deel de link per e-mail
insite
ZOEKEN

Abstract

Background

Lisfranc injuries mainly involve the tarsometatarsal joint complex and are commonly misdiagnosed or missed in clinical settings. Most medical institutions prefer to use conventional radiography. However, existing studies on conventional radiographs in Lisfranc injury lack a large population-based sample, influencing the validity of the results. We aimed to determine the diagnostic validity and reliability of conventional radiography for Lisfranc injury and whether computed tomography can alter clinical decision-making.

Methods

This retrospective study included 307 patients with, and 100 patients without, Lisfranc injury from January 2017 to December 2019. Diagnosis was confirmed using computed tomography. A senior and junior surgeon independently completed two assessments of the same set of anonymised conventional radiographs at least 3 months apart. The surgeons were then asked to suggest one of two treatment options (surgery or conservative treatment) for each case based on the radiographs and subsequently on the CT images.

Results

All inter- and intra-observer reliabilities were moderate to very good (all κ coefficients > 0.4). The mean (range) true positive rate was 81.8% (73.9%–87.0%), true negative rate was 90.0% (85.0%–94.0%), false positive rate was 10.0% (6.0%–15.0%), false negative rate was 18.2% (13.0%–26.1%), positive predictive value was 96.1% (93.8%–97.8%), negative predictive value was 62.4% (51.5%–69.7%), classification accuracy was 83.8% (76.7%–88.2%), and balanced error rate was 14.1% (10.2%–20.5%). Three-column injuries were most likely to be recognized (mean rate, 92.1%), followed by intermediate-lateral-column injuries (mean rate, 81.5%). Medial-column injuries were relatively difficult to identify (mean rate, 60.7%). The diagnostic rate for non-displaced injuries (mean rate, 76.7%) was lower than that for displaced injuries (mean rate, 95.5%). The typical examples are given. A significant difference between the two surgeons was found in the recognition rate of non-displaced injuries (p = 0.005). The mean alteration rate was 21.9%; the senior surgeon tended to a lower rate (15.6%) than the junior one (28.3%) (p < 0.001).

Conclusions

The sensitivity, specificity, and classification accuracy of conventional radiographs for Lisfranc injury were 81.8%, 90.0%, and 83.8%, respectively. Three-column or displaced injuries were most likely to be recognized. The possibility of changing the initial treatment decision after subsequently evaluating computed tomography images was 21.9%. The diagnostic and clinical decision-making of surgeons with different experience levels demonstrated some degree of variability. Protected weight-bearing and a further CT scan should be considered if a Lisfranc injury is suspected and conventional radiography is negative.
Cheng Chen and JianTao Jiang contributed equally to this work and share the first authorship.

Publishers Note

Springer Nature remains neutral with regard to jurisdictional claims in published maps and institutional affiliations.
CT
Computed tomography
TPR
True positive rate
TNR
True negative rate
FPR
False positive rate
FNR
False negative rate
PPV
Positive predictive value
NPV
Negative predictive value
ACC
Classification accuracy
BER
Balanced error rate

Background

Lisfranc injuries mainly involve the tarsometatarsal joint complex [1] and are currently a trending topic in the field of foot trauma [2]. The incidence of Lisfranc injuries is reported to range from 1/60,000 to 14/100,000 person-years [35]. Notably, athletes may have a period of high prevalence of Lisfranc injury of up to 3/1,000 person-years [6]. Difficulties persist in the diagnosis and treatment of this injury type [7, 8], with clinical misdiagnosis and missed diagnoses often occurring. Patients with Lisfranc injuries receiving inappropriate treatment leads to chronic pain, high morbidity, and substantial disability [9, 10].
Currently, imaging examinations are the primary means of diagnosis of Lisfranc injuries [11]. Limited by cost and emergency room conditions, weight-bearing and manual stress radiography, computed tomography (CT), magnetic resonance imaging, and ultrasonography are sometimes unavailable and unfeasible. Therefore, conventional radiography remains the most commonly used imaging method as it is accessible, convenient, and cost-effective. A significant number of Lisfranc injuries, especially those with subtle initial presentations, tend to be overlooked or missed with conventional radiography [1215]. Existing studies on the use of conventional radiography for Lisfranc injuries lack a large population sample, which may have influenced the validity of their results.
In this study, we aimed to determine the diagnostic validity and reliability of conventional radiography in Lisfranc injury diagnosis using a large sample of consecutive patients. We hypothesized that the considered treatment options of either surgery or conservative treatment may have differed based on the radiographical and subsequent CT images.

Methods

Patients and study design

Patients diagnosed with Lisfranc injury (n = 307) and non-Lisfranc injury (n = 100) between January 2017 and December 2019 were enrolled in this retrospective study. Patients were eligible if they were 18 to 80 years old and presented to the emergency department for an acute foot injury. Patients were excluded if they had a history of malignancy, generalized ligament laxity, paraesthesia, metabolic bone disease, or any concomitant conditions that interfered with clinical judgment.
Lisfranc injury was defined as intra-articular fractures, avulsion fractures, or joint dislocation around the tarsometatarsal joint complex. Displacement injury was defined as a bone fragment displacement or joint dislocation of > 2 mm.
All 307 diagnoses of Lisfranc injuries were confirmed by a CT scan. Among the 307 injuries, 84 (27.4%) were displaced and 223 (72.6%) were non-displaced. The remaining 100 patients were diagnosed with non-Lisfranc injury by physical examination (i.e. no pain on palpation or manipulation of the tarsometatarsal joints, no ecchymosis at the level of the midfoot) or CT scan.
The patients’ data were collected from an electronic database of medical records. CT images were independently evaluated by an experienced radiologist and foot and ankle specialist. In cases where the diagnoses differed, the case was discussed between the two specialists and a final diagnosis agreed on. Conventional radiographical images comprised non-weight-bearing foot radiographs using anteroposterior, 30° oblique, and lateral views.
Anonymised conventional radiographs for each patient were assessed by two independent foot and ankle surgeons, observer A with 6 and B with 15 years of experience. Each surgeon completed two assessments at least three months apart, and were blinded to the diagnosis. Random ranking of the imaging data was performed for each observer’s evaluation. During the second assessment, each surgeon was asked to suggest treatment options (either surgery or conservative treatment) based on the conventional radiographs. After the second assessment, the corresponding CT images were provided to each surgeon, and they were again asked to suggest treatment strategies. Whether to change the initial treatment option after evaluating CT images compared with the second conventional radiographs evaluation was recorded as qualitative variable.
This study was conducted in compliance with the principles of the Declaration of Helsinki. All patients provided informed verbal consent rather than written consent because the analysis did not require any clinical intervention and participation in the study was clearly below the minimum risk. The study protocol was approved by the ethics committee of our institution.

Statistical analysis

Continuous variables are described as mean ± standard deviation; qualitative variables are described as numbers and proportions. Statistical analyses were performed using Microsoft Excel (version 16.15; Microsoft Corp., Redmond, WA, USA) and SPSS software (version 26.0; IBM Corp., Armonk, NY, USA). The independent sample t-test and Fisher’s exact test were used to compare the Lisfranc and non-Lisfranc injury groups. Statistical significance was set at p < 0.05.
Cohen’s kappa (κ), a method of evaluating reproducibility, was used to evaluate the inter- and intra-observer reliabilities. The κ coefficient was assessed according to the Landis and Koch criteria [16]: poor (0.0–0.2), fair (0.2–0.4), moderate (0.4–0.6), substantial (0.6–0.8), and almost perfect (0.8–1.0).
‘True-positive’ was defined as both ‘radiograph-positive’ and ‘CT-positive’. ‘True-negative’ was defined as both ‘radiograph-negative’ and ‘CT-negative’. ‘False-positive’ was defined as ‘radiograph-positive’ and ‘CT-negative’. ‘False-negative’ was defined as ‘radiograph-negative’ and ‘CT-positive’. Sensitivity (true positive rate) was calculated by dividing the total number of true-positive cases by that of CT-positive cases, and specificity (true negative rate) by dividing the true-negative cases by the CT-negative cases. The false positive rate was determined to be the false-positive cases divided by the CT-negative cases, and the false negative rate to be the false-negative cases divided by the CT-positive cases. The positive predictive value was calculated by dividing the true-positive cases by the radiograph-positive cases, and the negative predictive value by dividing the true-negative cases by the radiograph-negative cases [17]. The classification accuracy was obtained by dividing the true cases by all cases; the balanced error rate was obtained by taking the mean of the false positive and false negative rates.

Results

There were 307 patients with Lisfranc injuries and 100 patients without Lisfranc injuries. We found no significant differences between the groups in terms of demographic characteristics (Table 1). Table 2 presents the results of the reliability analysis. All inter- and intra-observer reliabilities were moderate to very good (κ coefficient > 0.4). Overall, observer B had a higher κ coefficient for intra-observer reliability than observer A.
Table 1
Characteristics of the patients
 
Lisfranc injury
( n  = 307)
No Lisfranc injury
( n  = 100)
P
value
Right foot, n (%)
163 (53.1%)
47 (47%)
0.290
Males, n (%)
192 (62.5%)
55 (55%)
0.180
Age, mean ± SD
46.2 ± 14.9
43.5 ± 16.4
0.118
Trauma mechanism, n (%)
0.077
 Falling or slipping
98 (31.9%)
27 (27%)
-
 Traffic collisions
85 (27.7%)
40 (40%)
-
 Direct injury
28 (9.1%)
11 (11%)
-
 Other
96 (31.3%)
22 (22%)
-
All P > 0.05
Table 2
Interobserver and intraobserver reliability
 
Observer A
after three months
Observer B
at the first time
All ( n =407)
Lisfranc ( n= 307)
All ( n= 407)
Lisfranc ( n= 307)
Observer A at the first time
All ( n= 407)
0.64 (0.56-0.72)
-
0.63 (0.55-0.70)
-
Lisfranc ( n= 307)
-
0.51 (0.40-0.62)
-
0.41 (0.29-0.53)
Observer B after three months
All ( n= 407)
0.75 (0.68-0.82)
-
0.81 (0.75-0.87)
-
Lisfranc ( n= 307)
-
0.58 (0.46-0.70)
-
0.61 (0.48-0.74)
The variables were described using Cohen's kappa (κ) (95% confidence interval)
All P < 0.01
The mean (range) true positive rate was 81.8% (73.9%–87.0%), true negative rate was 90.0% (85.0%–94.0%), false positive rate was 10.0% (6.0%–15.0%), false negative rate was 18.2% (13.0%–26.1%), positive predictive value was 96.1% (93.8%–97.8%), negative predictive value was 62.4% (51.5%–69.7%), classification accuracy was 83.8% (76.7%–88.2%), and balanced error rate was 14.1% (10.2%–20.5%) (Table 3). When the mean value of the two observations was compared between the two observers, the agreement between two observers was moderate in conventional radiographs of Lisfranc injuries (κ = 0.419, P < 0.001), and substantial in all conventional radiographs (κ = 0.601, P < 0.001).
Table 3
Overall results of the two observers’ two evaluations
 
Observer A
Observer B
Mean value
First time
Three months later
First time
Three months later
TPR
227/307
(73.9%)
248/307
(80.8%)
263/307
(85.7%)
267/307
(87.0%)
81.8%
TNR
85/100
(85.0%)
89/100
(89.0%)
94/100
(94.0%)
92/100
(92.0%)
90.0%
FPR
15/100
(15.0%)
11/100
(11.0%)
6/100
(6.0%)
8/100
(8.0%)
10.0%
FNR
80/307
(26.1%)
59/307
(19.2%)
44/307
(14.3%)
40/307
(13.0%)
18.2%
PPV
227/242
(93.8%)
248/259
(95.8%)
263/269
(97.8%)
267/275
(97.1%)
96.1%
NPV
85/165
(51.5%)
89/148
(60.1%)
94/138
(68.1%)
92/132
(69.7%)
62.4%
ACC
312/407
(76.7%)
337/407
(82.8%)
357/407
(87.7%)
359/407
(88.2%)
83.8%
BER
20.5%
15.1%
10.2%
10.5%
14.1%
Agreementa
Lisfranc (n = 307)
κ = 0.419, P < 0.001
All (n = 407)
κ = 0.601, P < 0.001
TPR True positive rate, TNR True negative rate, FPR False positive rate, FNR False negative rate, PPV Positive predictive value, NPV Negative predictive value, ACC ACC classification accuracy, BER Balanced error rate
aThe mean value of Observer A’s two observations was compared to that of Observer B
There was a significant difference in the recognition rate between the two observers (p = 0.004) (Table 4). According to Chiodo-Myerson’s classification [18], three-column injuries had the highest likelihood of being recognized (mean rate = 92.1%), followed by intermediate-lateral-column injuries (mean rate = 81.5%). Medial-column injuries were relatively difficult to identify (mean rate = 60.7%). Although a significant difference was observed between the two observers in the recognition rate of two-column injuries (p = 0.037), further analysis revealed no significant difference in the subgroups. According to the displacement classification, the diagnostic rate for non-displaced injuries (mean rate = 76.7%) was lower than that for displaced injuries (mean rate = 95.5%). A significant difference was found between the two observers in the recognition rate of non-displaced injuries (p = 0.005).
Table 4
The recognition rate of Lisfranc injury in conventional radiographs
 
Observer A
Observer B
Mean value
*P
value
First time
Three months later
First time
Three months later
All ( n  = 307)
227/307
(73.9%)
248/307
(80.8%)
263/307
(85.7%)
267/307
(87.0%)
81.8%
0.004#
Chiodo-Myerson’s three-column classification [18]
One column
( n  = 44)
27/44
(61.4%)
32/44
(72.7%)
36/44
(81.8%)
34/44
(77.3%)
73.3%
0.171
A ( n  = 7)
3/7
(42.9%)
4/7
(57.1%)
5/7
(71.4%)
5/7
(71.4%)
60.7%
0.608
B ( n  = 37)
24/37
(64.9%)
28/37
(75.7%)
31/37
(83.8%)
29/37
(78.4%)
75.7%
0.278
Two columns
( n  = 136)
90/136
(66.2%)
99/136
(72.8%)
106/136
(77.9%)
113/136
(83.1%)
75.0%
0.037#
AB ( n  = 69)
39/69
(56.5%)
48/69
(69.6%)
51/69
(73.9%)
55/69
(79.7%)
69.9%
0.051
AC ( n  = 2)
0/2
(0.0%)
1/2
(50.0%)
1/2
(50.0%)
1/2
(50.0%)
37.5%
1.000
BC ( n  = 65)
51/65
(78.5%)
50/65
(76.9%)
54/65
(83.1%)
57/65
(87.7%)
81.5%
0.267
Three columns (ABC) ( n  = 127)
110/127
(86.6%)
117/127
(92.1%)
121/127
(95.3%)
120/127
(94.5%)
92.1%
0.111
Displacement classification
Displaced injury ( n  = 84)
77/84
(91.7%)
81/84
(96.4%)
81/84
(96.4%)
82/84
(97.6%)
95.5%
0.496
Non-displaced injury ( n  = 223)
150/223
(67.3%)
167/223
(74.9%)
182/223
(81.6%)
185/223
(83.0%)
76.7%
0.005#
A, B, and C represent medial, intermediate, and lateral column, respectively
*The mean value of Observer A’s two observations was compared to that of Observer B
#P < 0.05
When the surgeons were asked to re-evaluate their initial treatment strategies after assessing the CT images (Table 5), the mean alteration rate was 21.9% (observer A, 28.3%; observer B, 15.6%). This represented a significant difference in alteration rates between the two observers (p < 0.001). Typical case images are shown in the figures (Figs. 1, 2, 3 and 4).
Table 5
Whether to change the initial treatment option after evaluating CT images compared with the second conventional radiographs evaluation (n = 307)
 
Observer A
Observer B
Mean value
P value
Change
87/307
(28.3%)
48/307
(15.6%)
21.9%
 < 0.001
No change
220/307
(71.7%)
259/307
(84.4%)
78.1%
Fig. 1
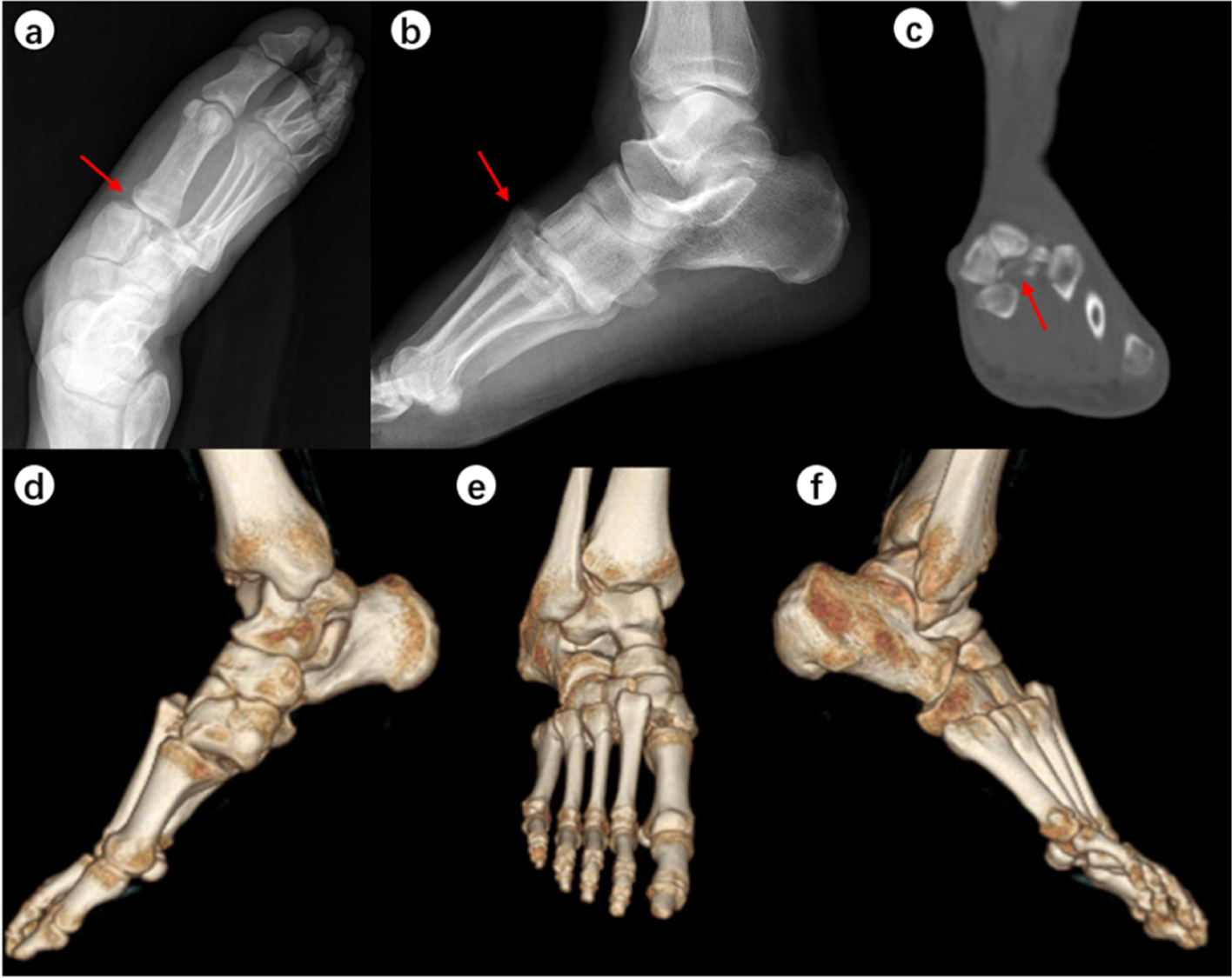
A 42-year-old man had a traffic collision and hurt his right foot. Chiodo-Myerson’s classification: three-column injury; Displacement classification: displaced injury. Both two observers made the correct diagnosis for two times, and didn’t change the initial treatment option (surgery) after evaluating CT image. a-b The conventional radiographs showed obvious tarsometatarsal joint dislocation (red arrows). It was easily diagnosed. c-f CT unraveled more details: intra-articular fractures of the base of the second and third metatarsal bone as well as extensive dorsal-lateral dislocation of the tarsometatarsal joint. The red arrow indicates the fracture fragments
Afbeelding vergroten
Fig. 2
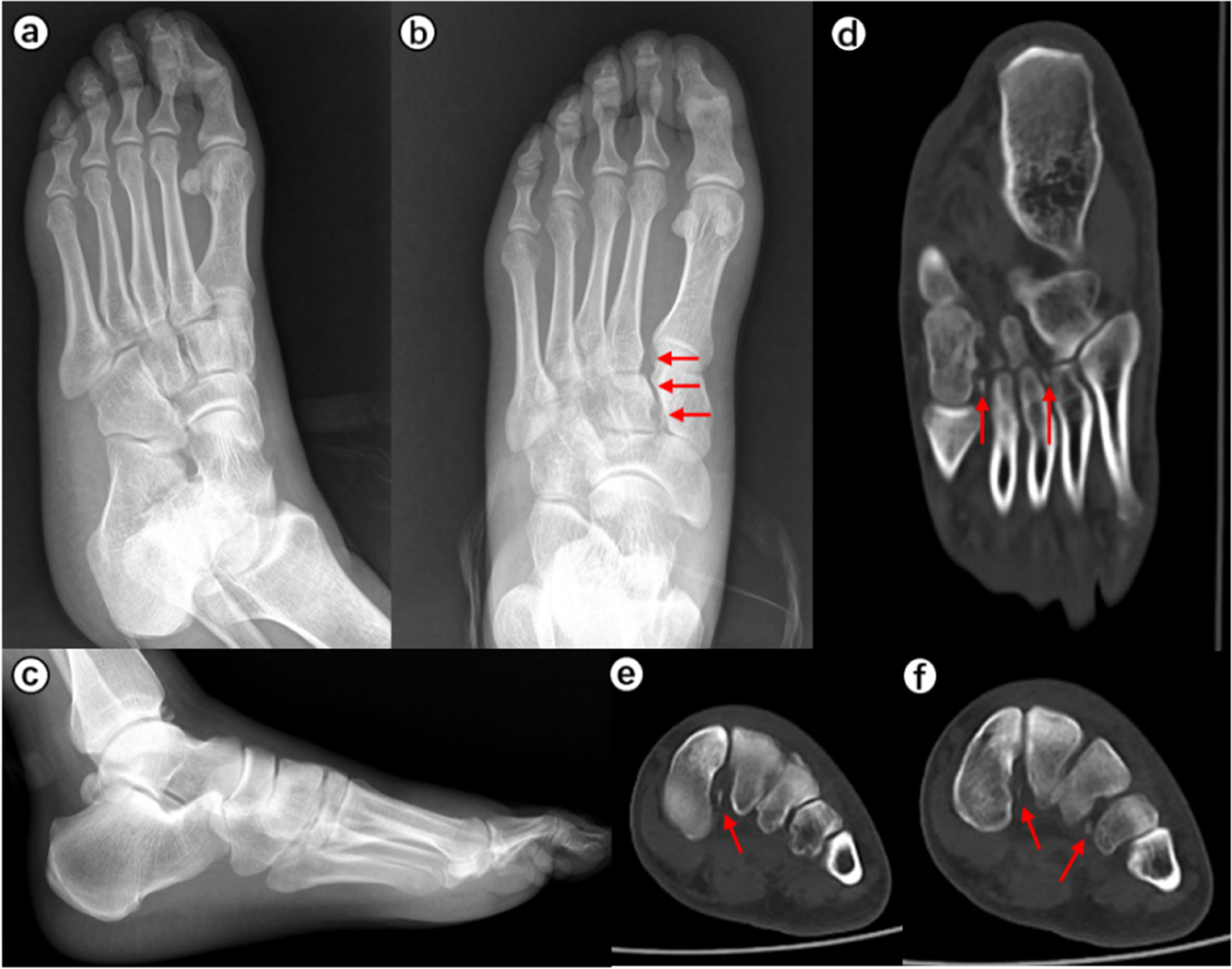
A 37-year-old man fell and hurt his left foot. Chiodo-Myerson’s classification: medial–lateral-column injury; Displacement classification: displaced injury. Both two observers made the correct diagnosis for two times, and didn’t change the initial treatment option (surgery) after evaluating CT image. a-c The conventional radiographs showed no obvious fractures. The separation of the first and second rays strongly suggested Lisfranc injury (red arrows). d-f Computed tomography imaging showed intra-articular avulsion fractures of the medial cuneiform and fourth metatarsal bones. Red arrows indicate the fracture fragments
Afbeelding vergroten
Fig. 3
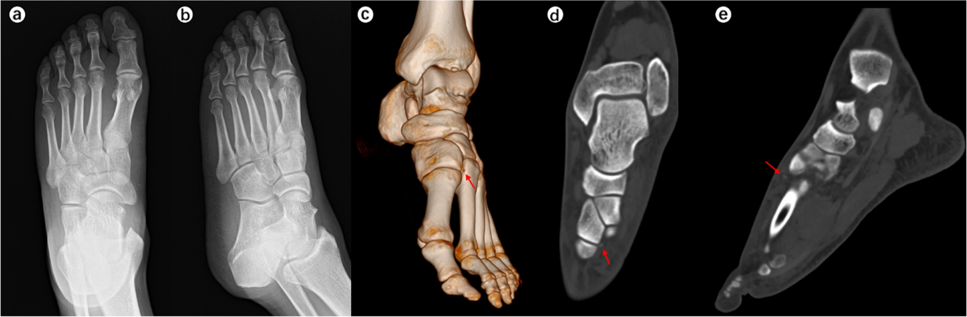
A 30-year-old female hurt her right foot after slipping. Chiodo-Myerson’s classification: three-column injury; Displacement classification: non-displaced injury. Observer A made the wrong diagnosis for two times, and changed the initial treatment option (conservative treatment to surgery) after evaluating CT image. Observer B made the correct diagnosis at the second time, and changed the initial treatment option (conservative treatment to surgery) after evaluating CT image. a-b The Lisfranc injury was easily missed on plain X-ray. c-e The plantar intra-articular fractures of the base of the first to fourth metatarsal bones are shown on computed tomography images. The red arrows indicate the fracture fragments
Afbeelding vergroten
Fig. 4
A 46-year-old man slipped and damaged his left foot. Chiodo-Myerson’s classification: medial-column injury; Displacement classification: non-displaced injury. Both two observers made the wrong diagnosis for two times, but didn’t change the initial treatment option (conservative treatment) after evaluating CT image. a-b The Lisfranc injury was missed on plain X-ray. c-e Computed tomography showed a dorsal avulsion fracture of the medial cuneiform bone. The red arrows indicate the very small fracture fragments
Afbeelding vergroten

Discussion

In this study, we evaluated conventional radiographic images of suspected Lisfranc injuries based on a large sample of consecutive patients. Sensitivity, specificity, and classification accuracy were 81.8%, 90.0%, and 83.8%, respectively. Three-column or displaced injuries had the highest possibility of being recognized. A 21.9% possibility existed of the surgeons changing their initial treatment option after evaluating CT images, after using conventional radiographic images for their first assessments. The diagnostic and clinical decisions made by doctors with different experience levels demonstrated some degree of variability.
Imaging-mediated diagnosis of Lisfranc injury remains challenging because a significant percentage of the injury is non-displaced and even insidious. Imperfection exists in each imaging approach [19]. A recent study showed that bilateral weight-bearing radiographs seemed more valuable than CT scans for diagnosing suspected subtle Lisfranc injuries [20]. Shim et al. argued that the diagnostic validity of bilateral CT is similar to that of bilateral weight-bearing radiographs [21]. Weight-bearing CT, a growing emerging technology, displays a strong potential for detecting subtle changes and revealing latent injuries [22, 23]. Bhimani et al. used three-dimensional volumetric measurements from weight-bearing CT to detect Lisfranc instability with a higher sensitivity (91.6%–92.3%) and specificity (96.5%–97.7%) than those detected using two- and one-dimensional measurements [24]. Despite weight-bearing or manual stress contributing to a higher likelihood of correct diagnosis [25, 26], concomitant pain drastically increased the difficulty in conducting the examinations. Performing such examinations using regional anaesthesia or as follow-up to more conventional methods is likely to be practical and feasible [20, 27].
Magnetic resonance imaging and ultrasonography provide new opportunities in the field, but their utility for detecting Lisfranc injuries requires further investigation. Magnetic resonance imaging has the particular advantages of being highly sensitive and able to reveal occult fractures, and the Lisfranc ligament and other soft tissues [28]; however, it is a time-consuming and costly examination. Raikin et al. found that disruption of the plantar ligament between the first cuneiform and the bases of the second and third metatarsals predicted instability with a sensitivity of 94% and specificity of 75% based on magnetic resonance imaging [29]. Ultrasonography is a cost-effective dynamic diagnostic tool for determining Lisfranc injury by assessing the dorsal Lisfranc ligament [30]. Promoting the use of ultrasonography to diagnose Lisfranc injuries is hampered by a lack of familiarity with the modality among physicians and the technology’s inability to reveal deeper structures.
The majority of patients initially visit primary care doctors, which means that some radiographical methods are not available. Most medical institutions, especially those that provide primary healthcare, prefer conventional radiography. However, this modality’s incidence rates of missed diagnoses and misdiagnosis are unsatisfactory and disappointing. The recognition rate reported in the literature varies from 68.9% to 86.0% [3, 12, 13, 3134]. Ponkilainen et al. reported the largest sample size [12]. The study included 100 sets of foot radiographs (no Lisfranc injury, non-displaced Lisfranc injury, and displaced Lisfranc injury each representing around 1/3 of the total). The results showed that the overall sensitivity was 76.1% (60.6%–92.4%) and the specificity was 85.3% (52.9%–100%). Furthermore, the diagnostic sensitivity in non-displaced injuries (65.4%) was significantly lower than that in displaced injuries (87.1%).
Our study used the largest data sample thus far reported, reflecting a complicated real-life situation with no manipulation of the proportion of Lisfranc injury subgroups. A total of 223 non-displaced injuries accounted for 72.6% of injuries, which was consistent with the literature (55%–74.7%) [3, 5, 12]. The overall sensitivity and specificity were 81.8% (73.9%–87.0%) and 90.0% (85.0%–94.0%), respectively. We showed a mean recognition rate of non-displaced Lisfranc injuries using conventional radiography of 76.7%, which was remarkably lower than that of the displaced injury group (95.5%). Additionally, column involvement was associated with severity and long-term functional outcomes [35]. We conducted the first subgroup analysis of column involvement: three-column injuries had the highest recognition rate (92.1%), followed by intermediate-lateral-column injuries (81.5%). Interestingly, medial–lateral-column injuries are rare and considered easily ignored. However, the recognition rate of medial–lateral-column injuries may have been affected by the small sample size. Besides, medial-column injuries were relatively difficult to identify (60.7%). Physicians with different levels of experience showed variations in diagnosing non-displaced Lisfranc injuries. The diagnostic rate of non-displaced injuries (76.7%) was significantly lower than that of displaced injuries (95.5%).
Extensive efforts have been made to increase the diagnostic performance of conventional radiography for Lisfranc injuries. Rankine et al. assumed that a craniocaudal angulation of 28.9° might be a better alternative for revealing the Lisfranc joint [13]; bilateral contrast is another potential approach. In contrast to contralateral non-injured side images, Seo et al. compared six abnormal findings in 51 subtle Lisfranc injuries [33]. They recommended medial cuneiform (C1)–second metatarsal (M2) diastasis with a sensitivity of 92% and specificity of 100%.
The reliability of conventional radiography is another concern. Differences among doctors at different experience levels in different departments [12, 32] could affect the reliability of this modality. Sherief et al., reported a mean (range) sensitivity of 86.0% (73.9%–91.3%) and specificity of 92.1% (71.4%–100.0%) using conventional radiographs detecting Lisfranc injuries [32]. However, the intraclass correlation coefficient was not further calculated. Ponkilainen et al. reported that the mean (range) sensitivity was 76.1% (60.6%–92.4%) and the specificity was 85.3% (52.9%–100.0%) [12]. Further results for interobserver and intra-observer reliability confirmed moderate to substantial correlation (mean κ = 0.54 and 0.71, respectively). In our study, the mean (range) sensitivity was 81.8% (73.9%–87.0%) and specificity was 90.0% (85.0%–94.0%). The mean κ for interobserver reliability was 0.69 and intra-observer reliability was 0.73, which resulted in a substantial correlation.
More importantly, our study is the first to explore clinical decision-making based on the use of conventional radiography versus CT. The mean alteration rate was 21.9%, with the senior surgeon demonstrating a lower tendency to alter their decision (15.6%) than the junior surgeon did (28.3%). Based on this observation, new questions can be formulated: How do we reduce lapses in clinical decision-making processes? When and how should we choose further investigation using other imaging modalities? These questions warrant consideration and future research.

Limitations of this study

This study has several limitations. First, two foot and ankle surgeons, considered necessarily representative, participated in this assessment; findings based on their contributions to this study might not be generalizable or representative of broader patterns. The findings need to be interpreted and extrapolated with caution. Second, a relatively large sample was included in our study to reflect a real situation; however, the sample size of some uncommon types of Lisfranc injuries was small, thus limiting the related subgroup analyses. Third, the complexity of specific treatments meant that we only compared two general management options – surgery and conservative treatment.

Conclusion

The sensitivity, specificity, and classification accuracy of conventional radiographs for Lisfranc injuries were 81.8%, 90.0%, and 83.8%, respectively. Three-column or displaced injuries had the highest likelihood of being recognized. The possibility of changing the initial treatment option after evaluating CT images compared to conventional radiographs was 21.9%. Furthermore, the diagnosis and clinical decisions made by doctors with different seniority levels demonstrated some degree of variability. Protected weight-bearing and a further CT scan should be considered for patients with positive signs in physical examination, but negative findings in conventional radiography.

Acknowledgements

The authors thank all the people participating in this study and Editage (www.editage.cn) for English language editing.

Declarations

The study was approved by the Ethics Committee of Shanghai Jiao Tong University Affiliated Sixth Peoples Hospital (2022-KY-019(K)). All patients gave informed verbal consent rather than written consent because the analysis did not require any clinical intervention, and the participations in the study were clearly below minimum risk. The confidentiality of patient information was protected. The study was conducted in compliance with the Helsinki Declaration.
Not applicable.

Competing interests

The authors declare that they have no competing interests.
Open AccessThis article is licensed under a Creative Commons Attribution 4.0 International License, which permits use, sharing, adaptation, distribution and reproduction in any medium or format, as long as you give appropriate credit to the original author(s) and the source, provide a link to the Creative Commons licence, and indicate if changes were made. The images or other third party material in this article are included in the article's Creative Commons licence, unless indicated otherwise in a credit line to the material. If material is not included in the article's Creative Commons licence and your intended use is not permitted by statutory regulation or exceeds the permitted use, you will need to obtain permission directly from the copyright holder. To view a copy of this licence, visit http://creativecommons.org/licenses/by/4.0/. The Creative Commons Public Domain Dedication waiver (http://creativecommons.org/publicdomain/zero/1.0/) applies to the data made available in this article, unless otherwise stated in a credit line to the data.

Publishers Note

Springer Nature remains neutral with regard to jurisdictional claims in published maps and institutional affiliations.
share
DELEN

Deel dit onderdeel of sectie (kopieer de link)

  • Optie A:
    Klik op de rechtermuisknop op de link en selecteer de optie “linkadres kopiëren”
  • Optie B:
    Deel de link per e-mail
Titel
Is the diagnostic validity of conventional radiography for Lisfranc injury acceptable?
Auteurs
Cheng Chen
JianTao Jiang
Cheng Wang
Jian Zou
ZhongMin Shi
YunFeng Yang
Publicatiedatum
01-12-2023
Uitgeverij
BioMed Central
Gepubliceerd in
Journal of Foot and Ankle Research / Uitgave 1/2023
Elektronisch ISSN: 1757-1146
DOI
https://doi.org/10.1186/s13047-023-00608-0
1.
go back to reference Haraguchi N, Ota K, Ozeki T, Nishizaka S. Anatomical Pathology of Subtle Lisfranc Injury. Sci Rep. 2019;9(1):14831.CrossRefPubMedPubMedCentral
2.
go back to reference Moracia-Ochagavía I, Rodríguez-Merchán EC. Lisfranc fracture-dislocations: current management. EFORT Open Rev. 2019;4(7):430–44.CrossRefPubMedPubMedCentral
3.
go back to reference Stødle AH, Hvaal KH, Enger M, Brøgger H, Madsen JE, Ellingsen HE. Lisfranc injuries: Incidence, mechanisms of injury and predictors of instability. Foot Ankle Surg. 2020;26(5):535–40.CrossRefPubMed
4.
go back to reference Hardcastle PH, Reschauer R, Kutscha-Lissberg E, Schoffmann W. Injuries to the tarsometatarsal joint. Incidence, classification and treatment. J Bone Joint Surg Br. 1982;64(3):349–56.CrossRefPubMed
5.
go back to reference Ponkilainen VT, Laine HJ, Mäenpää HM, Mattila VM, Haapasalo HH. Incidence and Characteristics of Midfoot Injuries. Foot Ankle Int. 2019;40(1):105–12.CrossRefPubMed
6.
go back to reference Mchale KJ, Vopat BG, Beaulieu-Jones BR, Sanchez G, Whalen JM, Mcdonald LS, et al. Epidemiology and Outcomes of Lisfranc Injuries Identified at the National Football League Scouting Combine. Am J Sports Med. 2017;45(8):1901–8.CrossRefPubMed
7.
go back to reference Barnds B, Tucker W, Morris B, Tarakemeh A, Schroeppel JP, Mullen S, et al. Cost comparison and complication rate of Lisfranc injuries treated with open reduction internal fixation versus primary arthrodesis. Injury. 2018;49(12):2318–21.CrossRefPubMed
8.
go back to reference Ahluwalia R, Yip G, Richter M, Maffulli N. Surgical controversies and current concepts in Lisfranc injuries. Br Med Bull. 2022;144(1):57-75.
9.
go back to reference Garríguez-Pérez D, Puerto-Vázquez M, Tomé Delgado JL, Galeote E, Marco F. Impact of the Subtle Lisfranc Injury on Foot Structure and Function. Foot Ankle Int. 2021;42(10):1303–10.CrossRefPubMed
10.
go back to reference Mittlmeier T, Haar P, Beck M. Reconstruction After Malunited Lisfranc Injuries. Eur J Trauma Emerg Surg. 2010;36(3):217–26.CrossRefPubMed
11.
go back to reference Siddiqui NA, Galizia MS, Almusa E, Omar IM. Evaluation of the tarsometatarsal joint using conventional radiography, CT, and MR imaging. Radiographics. 2014;34(2):514–31.CrossRefPubMed
12.
go back to reference Ponkilainen VT, Partio N, Salonen EE, Riuttanen A, Luoma EL, Kask G, et al. Inter- and intraobserver reliability of non-weight-bearing foot radiographs compared with CT in Lisfranc injuries. Arch Orthop Trauma Surg. 2020;140(10):1423–9.CrossRefPubMedPubMedCentral
13.
go back to reference Rankine JJ, Nicholas CM, Wells G, Barron DA. The diagnostic accuracy of radiographs in Lisfranc injury and the potential value of a craniocaudal projection. AJR Am J Roentgenol. 2012;198(4):W365–9.CrossRefPubMed
14.
go back to reference Preidler KW, Peicha G, Lajtai G, Seibert FJ, Fock C, Szolar DM, et al. Conventional radiography, CT, and MR imaging in patients with hyperflexion injuries of the foot: diagnostic accuracy in the detection of bony and ligamentous changes. AJR Am J Roentgenol. 1999;173(6):1673–7.CrossRefPubMed
15.
go back to reference Lu J, Ebraheim NA, Skie M, Porshinsky B, Yeasting RA. Radiographic and computed tomographic evaluation of Lisfranc dislocation: a cadaver study. Foot Ankle Int. 1997;18(6):351–5.CrossRefPubMed
16.
go back to reference Landis JR, Koch GG. The measurement of observer agreement for categorical data. Biometrics. 1977;33(1):159–74.CrossRefPubMed
17.
go back to reference Frederick RI, Bowden SC. The test validation summary. Assessment. 2009;16(3):215–36.CrossRefPubMed
18.
go back to reference Chiodo CP, Myerson MS. Developments and advances in the diagnosis and treatment of injuries to the tarsometatarsal joint. Orthop Clin North Am. 2001;32(1):11–20.CrossRefPubMed
19.
go back to reference Sripanich Y, Weinberg MW, Krähenbühl N, Rungprai C, Mills MK, Saltzman CL, et al. Imaging in Lisfranc injury: a systematic literature review. Skeletal Radiol. 2020;49(1):31–53.CrossRefPubMed
20.
go back to reference Kennelly H, Klaassen K, Heitman D, Youngberg R, Platt SR. Utility of weight-bearing radiographs compared to computed tomography scan for the diagnosis of subtle Lisfranc injuries in the emergency setting. Emerg Med Australas. 2019;31(5):741–4.CrossRefPubMed
21.
go back to reference Shim DW, Choi E, Park YC, Shin SC, Lee JW, Sung SY. Comparing bilateral feet computed tomography scans can improve surgical decision making for subtle Lisfranc injury. Arch Orthop Trauma Surg. 2021;142(12):3705-14.
22.
go back to reference Sripanich Y, Weinberg MW, Krähenbühl N, Rungprai C, Saltzman CL, Barg A. Reliability of measurements assessing the Lisfranc joint using weightbearing computed tomography imaging. Arch Orthop Trauma Surg. 2021;141(5):775–81.CrossRefPubMed
23.
go back to reference Falcon S, Mccormack T, Mackay M, Wolf M, Baker J, Tarakemeh A, et al. Retrospective chart review: Weightbearing CT scans and the measurement of the Lisfranc ligamentous complex. Foot Ankle Surg. 2023;29(1):39-43.
24.
go back to reference Bhimani R, Sornsakrin P, Ashkani-Esfahani S, Lubberts B, Guss D, De Cesar NC, et al. Using area and volume measurement via weightbearing CT to detect Lisfranc instability. J Orthop Res. 2021;39(11):2497–505.CrossRefPubMed
25.
go back to reference De Bruijn J, Hagemeijer NC, Rikken QGH, Husseini JS, Saengsin J, Kerkhoffs G, et al. Lisfranc injury: Refined diagnostic methodology using weightbearing and non-weightbearing radiographs. Injury. 2022;53(6):2318–25.CrossRefPubMed
26.
go back to reference Coss HS, Manos RE, Buoncristiani A, Mills WJ. Abduction stress and AP weightbearing radiography of purely ligamentous injury in the tarsometatarsal joint. Foot Ankle Int. 1998;19(8):537–41.CrossRefPubMed
27.
go back to reference Nunley JA, Vertullo CJ. Classification, investigation, and management of midfoot sprains: Lisfranc injuries in the athlete. Am J Sports Med. 2002;30(6):871–8.CrossRefPubMed
28.
go back to reference Kitsukawa K, Hirano T, Niki H, Tachizawa N, Nakajima Y, Hirata K. MR Imaging Evaluation of the Lisfranc Ligament in Cadaveric Feet and Patients With Acute to Chronic Lisfranc Injury. Foot Ankle Int. 2015;36(12):1483–92.CrossRefPubMed
29.
go back to reference Raikin SM, Elias I, Dheer S, Besser MP, Morrison WB, Zoga AC. Prediction of midfoot instability in the subtle Lisfranc injury. Comparison of magnetic resonance imaging with intraoperative findings. J Bone Joint Surg Am. 2009;91(4):892–9.CrossRefPubMed
30.
go back to reference Deluca MK, Walrod B, Boucher LC. Ultrasound as a Diagnostic Tool in the Assessment of Lisfranc Joint Injuries. J Ultrasound Med. 2020;39(3):579–87.CrossRefPubMed
31.
go back to reference Haapamaki VV, Kiuru MJ, Koskinen SK. Ankle and foot injuries: analysis of MDCT findings. AJR Am J Roentgenol. 2004;183(3):615–22.CrossRefPubMed
32.
go back to reference Sherief TI, Mucci B, Greiss M. Lisfranc injury: how frequently does it get missed? And how can we improve? Injury. 2007;38(7):856–60.CrossRefPubMed
33.
go back to reference Seo DK, Lee HS, Lee KW, Lee SK, Kim SB. Nonweightbearing Radiographs in Patients With a Subtle Lisfranc Injury. Foot Ankle Int. 2017;38(10):1120–5.CrossRefPubMed
34.
go back to reference Haapamaki V, Kiuru M, Koskinen S. Lisfranc fracture-dislocation in patients with multiple trauma: diagnosis with multidetector computed tomography. Foot Ankle Int. 2004;25(9):614–9.CrossRefPubMed
35.
go back to reference Lau SC, Guest C, Hall M, Tacey M, Joseph S, Oppy A. Do columns or sagittal displacement matter in the assessment and management of Lisfranc fracture dislocation? An alternate approach to classification of the Lisfranc injury. Injury. 2017;48(7):1689–95.CrossRefPubMed