Ga naar de hoofdinhoud
Top

X-puzzel #11 - bevindingen

  • 01-02-2018
  • X-puzzel
Gepubliceerd in:
share
DELEN

Deel dit onderdeel of sectie (kopieer de link)

  • Optie A:
    Klik op de rechtermuisknop op de link en selecteer de optie “linkadres kopiëren”
  • Optie B:
    Deel de link per e-mail

Samenvatting

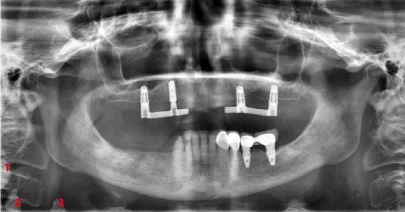
Op pagina 21 vroegen wij u naar de bijzonderheden op een postoperatieve panoramaopname (afbeelding 1 ) van een 77-jarige vrouwelijke patiënt.
Afb. 1
Panoramaopname uit oktober 2017.
Afbeelding vergroten
Titel
X-puzzel #11 - bevindingen
Auteurs
Frédérique San Giorgi
Reinier Hoogeveen
Publicatiedatum
01-02-2018
Uitgeverij
Bohn Stafleu van Loghum
Gepubliceerd in
Tandartspraktijk / Uitgave 1/2018
Print ISSN: 0167-1685
Elektronisch ISSN: 1875-6808
DOI
https://doi.org/10.1007/s12496-018-0015-4
Deze inhoud is alleen zichtbaar als je bent ingelogd en de juiste rechten hebt.