Ga naar de hoofdinhoud
Top

Methoden en resultaten van LDR-brachytherapie voor patiënten met gelokaliseerd prostaatcarcinoom; een historisch overzicht van het Antoni van Leeuwenhoek

  • Open Access
  • 11-06-2025
  • Artikel
Gepubliceerd in:

Samenvatting

In de periode 2002–2023 werden 1.360 patiënten behandeld voor gelokaliseerde prostaatkanker met transperineale echogeleide brachytherapie. De belangrijkste technologische ontwikkelingen waren de introductie van gelinkte Jodium-zaadjes in 2007, het gebruik van diagnostische MRI ten behoeve van de implantatieplanning en het realtime adaptief plannen in 2011. In een cohort van 261 prostaatkankerpatiënten waren 94,6 % en 92,2 % vrij van recidief en metastase na respectievelijk 5 en 7 jaar. Lokale recidieven waren vaker gelegen in de vesiculae (11 ×), dan in het prostaatkapsel (6 ×). Bijwerkingen van de behandeling waren toename van de mictiefrequentie, nycturie en aandrang. Deze piekten na drie maanden, maar namen daarna af. Er werd geen verband gevonden tussen onderzochte dosisvariabelen en recidieven c. q. metastasen. Er was een significant verband tussen de dosis in de uitwendige sluitspier en de mictiefrequentie, aandrang en nycturie.

Inleiding

Brachytherapie met Jodium-125 bronnen, oftewel I‑125-zaadjes, wordt in de literatuur ‘continuous low dose rate brachytherapy’ genoemd. Dit betekent dat de bronnen (of zaadjes) in de patiënt blijven en in langzaam tempo een dosis afgeven, totdat de activiteit helemaal is vervallen. Reeds in de jaren tachtig van de vorige eeuw werd in het Antoni van Leeuwenhoek (AVL) brachytherapie met I‑125-zaadjes toegepast. Dit gebeurde door vrijehandimplantatie van de zaadjes, retropubisch via open laparotomie. De techniek was echter niet erg verfijnd en bovendien invasief. Omdat de resultaten onbevredigend waren werd de techniek eind jaren tachtig stopgezet. Later werd elders minimaal invasieve echogeleide implantatie via het perineum geïntroduceerd, met een betere controle over de plaatsing van de zaadjes [1]. In 2002 werd besloten brachytherapie van de prostaat te herintroduceren in het AVL, maar dan door middel van deze verbeterde techniek. Van april 2002 tot en met juli 2023 werden met deze methode 1.360 primaire behandelingen voor gelokaliseerde prostaatkanker uitgevoerd. Gedurende de eerste tien jaar waren dit voornamelijk low risk (LR)-patiënten en daarna overwegend intermediate risk (IR)-patiënten (definitie NCCN) [2].
Doel van dit overzicht is om inzicht te geven in de methoden en ontwikkelingen van de brachytherapietechniek gedurende de jaren en om analyses weer te geven van ziektecontrole, bijwerkingen en dosis-effectrelaties gedurende bepaalde periodes waarin uitgebreide follow-up (FU) plaatsvond met nauwgezette administratie van resultaten in een daarvoor ingerichte database.

Materiaal en methoden

Inclusiecriteria en medicatie

Inclusiecriteria voor primaire LDR-brachytherapie waren: initieel PSA < 20 ng/ml, Gleason-score maximaal 4 + 3, International Prostate Symptom Score (IPSS) < 15, prostaatvolume < 60 cm3. Androgen deprivation therapy (ADT) maakte geen deel uit van de behandeling. Alleen patiënten met een prostaatvolume groter dan 55 cm3 en van wie met een pre-implantatie-echoscan kon worden vastgesteld dat er botinterferentie zou gaan optreden, ondergingen een aantal maanden ADT ter verkleining van het volume. De eerste drie maanden werd patiënten tamsulosine voorgeschreven, bij aanhoudende mictieklachten vaak langer.

Ziektecontrole

Na de invoering van een nieuwe implantatieplanningsmethode in 2011 (zie de paragraaf ‘Techniek van de brachytherapie’) werd besloten de ziektecontrole nauwkeurig te monitoren. De inclusiecriteria bleven zoals in de voorgaande paragraaf beschreven. Voor dit prospectieve cohortonderzoek werd van patiënten, behandeld tussen oktober 2011 en januari 2015, de PSA vastgesteld vóór de behandeling (initieel PSA) en drie en zes maanden na de behandeling, en vervolgens elke zes maanden tot vijf jaar, zeven jaar en tien jaar erna. Bij een stijging van de PSA werd deze elke drie maanden gemeten. Ter specificatie van het behandelingsresultaat wordt in de literatuur vaak de biochemische controle als uitgangspunt aangehouden [3, 4]. De meest gangbare definitie voor biochemical failure is PSA nadir + 2 ng/ml, de zogenaamde Phoenix-definitie [5]. Er werd niet altijd gewacht tot dit punt werd bereikt. Bij herhaald oplopende PSA werd gedurende de eerste twee jaar na de brachytherapie in eerste instantie gewacht met beeldvorming om een zogenaamde PSA-bounce uit te sluiten (zie de paragraaf ‘PSA recidief en bouncing’ onder de resultatenparagraaf). Daarbuiten werd na twee of drie PSA-stijgingen (afhankelijk van de snelheid van de stijging) met behulp van multiparametrische MRI en/of PET, lokale, regionale en afstandsrecidivering c. q. metastasering onderzocht. Als deze niet kon worden aangetoond, werd alleen biochemisch recidief volgens de Phoenix-definitie vastgelegd.

Quality of life (QoL)

Gedurende de periode medio 2009 tot medio 2017 werd patiënten gevraagd de IPSS-vragenlijst en de EORTC-vragenlijsten QLQ-C30 + PR25 in te vullen [6, 7]. Dit gebeurde vóór de behandeling (basisniveau) en drie, zes, twaalf en 24 maanden na de behandeling. Voor analyse werden patiënten geselecteerd die de lijst vóór de behandelingen en ten minste op drie van de vier momenten na de behandeling hadden ingevuld.

Techniek van de brachytherapie

De I‑125-zaadjes betrokken we tot medio 2007 van Amersham (later Oncura). Het waren zogenaamde ‘rapid strands’, de zaadjes zaten in strengen op 1 cm afstand aan elkaar. In mei 2007 stapten we over op zogenaamde ‘linked seeds’ van de firma Bard (later overgenomen door BD). Voordeel van deze techniek was dat de zaadjes op variabele afstanden van elkaar in strengen konden worden geassembleerd, wat meer vrijheid gaf voor het maken van een optimaal implantatieplan.
Nadat de patiënt onder narcose was gebracht en in steensnede was gepositioneerd, werd ten behoeve van de implantatieplanning een serie transrectale echobeelden van de prostaat gemaakt. Gedurende de periode 2002–2023 werd gebruikgemaakt van het Variseed-planningsysteem van Varian (versies 6,7 tot en met 9,02). Het opnemen van echobeelden gebeurde aanvankelijk door de transrectale echoprobe met de stepper telkens 5 mm te verplaatsen vanaf ongeveer 20 mm craniaal van de basis tot circa 10 mm voorbij de apex, en de achtereenvolgende transversale beelden in Variseed te importeren. De stepper is een statief waar de echoprobe in geklemd wordt, en vervolgens in craniaal-caudale richting getransleerd en om de lengteas geroteerd kan worden. Met de ingebruikname van een zogenaamde tracked stepper (Civco) in combinatie met de FlexFocus-echograaf van BK in respectievelijk 2011 en 2012 konden er om de mm transversale echobeelden worden gemaakt, waardoor er een betere 3D-reconstructie kon worden gerealiseerd (zie fig. 1). De zaadstrengen werden volgens het implantatieplan geassembleerd en in implantienaalden ingevoerd, om vervolgens onder echogeleide via het perineum in de prostaat te worden geïmplanteerd (zie fig. 2).
Figuur 1
Opgenomen transrectale echobeelden met een tracked stepper. Links het opgenomen transversale beeld, rechts het gereconstrueerde sagittale en coronale beeld. Voor andere vlakken kon met de muis door de beelden worden gescrold. De verschillende structuren werden ingetekend om dosis-volumehistogrammen te kunnen bepalen
Afbeelding vergroten
Figuur 2
Implantatienaalden zijn transperineaal via een zogenaamd grid in de prostaat geplaatst. De naalden worden een voor een geladen met zaadstrengen, die via een geladen opzetnaald met een mandrin in de prostaat worden gevoerd. Na positionering van de zaadjes op de juiste locatie in de prostaat wordt de implantatienaald teruggetrokken. De positie van de zaadjes wordt gecontroleerd met een longitudinaal echobeeld
Afbeelding vergroten
Een belangrijke stap (medio 2011) was de mogelijkheid om de positie van de geïmplanteerde zaadjes te reconstrueren op realtime longitudinale beelden om vervolgens planningen aan te kunnen passen, ook wel realtime adaptieve planning genoemd. Vanaf ongeveer dezelfde periode werden diagnostische MRI-beelden op een monitor op de OK weergegeven alvorens de planning te starten. Ter plaatse van de zichtbare tumor (Gross Target Volume, afgekort GTV) werden zaadjes zodanig geplaatst dat lokaal genoeg marge rond de prostaat werd gerealiseerd. Genoeg marge, dat wil zeggen de 145 Gy isodose op 3 mm afstand rond het kapsel. Dit kon meestal niet rond de hele prostaat worden gerealiseerd, wat ook niet wenselijk was met het oog op te hoge dosering van blaashals en rectum. Waar op de MRI geen tumor werd gezien, werd vaak met minder marge genoegen genomen. Ter plaatse van de zichtbare tumor werden echter geen concessies gedaan. In een steekproef van 26 gevallen, uit het cohort van tab. 1, werd gecontroleerd of de ingetekende GTV en GTV met 3 mm marge, maar binnen het prostaatkapsel, op pre-implantatie-MRI-beelden inderdaad significant hoger werden gedoseerd dan de rest van de prostaat.
Tabel 1
Basiskenmerken van de patiëntengroep
kenmerk
prospectief cohortonderzoek n = 261
periode
oktober 2011–december 2014
leeftijd (jaren)
gem/1 sd = 67,1/6,1; mediaan = 67,7; spreiding = 53,6−82,6
risicogroep (n)
  low
101
  intermediate
160
initieel PSA (ng/ml)
gem/1 sd = 9,0/3,9
Gleason-score
  3 + 3
156
  3 + 4
 82
  4 + 3
 22
  onbekend
  1
follow-up (maanden)
mediaan = 84,0; spreiding = 4–143
dosimetrie totaal (n)
244
dosimetrie met QoL-reeks (n)
196

Verband tussen dosisverdeling en klinisch resultaat

Ondanks de realtime aanpassing van de planning op grond van life echobeelden bleek de gereconstrueerde dosisverdeling aan het eind van de implantatieprocedure te weinig nauwkeurig om de uiteindelijke dosisverdeling te voorspellen. Dit werd veroorzaakt doordat de prostaat gezwollen was en de zaadjes nog niet helemaal in de prostaat gefixeerd waren. Een betere schatting van de dosisverdeling kon worden gemaakt op basis van een CT-scan, aangevuld met een geregistreerde T2-gewogen MRI-scan één maand na de OK-procedure [8]. Met behulp van de CT werd een reconstructie gemaakt van het implantaat, terwijl op de MRI de prostaat en de ‘organs at risk’ (OAR) werden ingetekend. Daarna kon de dosisverdeling in de verschillende organen worden bepaald (zie fig. 3). De patiëntengroep van tab. 1 werd gebruikt om verbanden te kunnen analyseren tussen dosisverdeling enerzijds en ziektecontrole en QoL anderzijds. Voor het dosis-QoL-effect werd het verband tussen dosimetrische variabelen in prostaat en lage urinewegen, en individuele vragen uit de IPSS- en de EORTC-PR25-lijsten geanalyseerd. Onderscheiden werden 0: geen toename van klachten gedurende 24 maanden, 1: alleen toename van klachten tot en met zes maanden, 2: alleen toename van klachten vanaf twaalf maanden; 3: blijvend verhoogde waarde na de behandeling.
Figuur 3
Sagittale T2-gewogen MRI één maand na implantatie van de I‑125-zaadjes met intekening van prostaat en OAR, en met isodosen. m urethra membranacea urethrae, p urethra prostatica urethrae. Isodosen: geel 72,5 Gy, rood 145 Gy (voorgeschreven dosis), groen 290 Gy
Afbeelding vergroten

Statistiek

De resultaten ziektecontrole, QoL en dosimetrie werden bijgehouden in een daartoe ingerichte Access-database. De analyse van de resultaten gebeurde in Excel en SPSS (IBM SPSS Statistics 29.0.0.0). Voor de analyse van ziektecontrole, overleving en verbanden met dosis-volumevariabelen werd gebruikgemaakt van de Kaplan-Meier-methode. Events voor ziektecontrole waren patiënten van wie een recidief c. q. metastase op beeldvorming werd aangetoond en patiënten met een biochemisch recidief niet zijnde een bounce. Gecensored werd bij de laatst beschikbare FU en bij overlijden van een patiënt. Events voor algemene overleving waren overlijden door elke oorzaak, gecensored werd bij de laatst beschikbare FU van een patiënt. Voor analyses van IPSS-resultaten werden T‑tests gebruikt, voor EORTC-PR25-resultaten Wilcoxon signed rank tests. Om verbanden te onderzoeken tussen dosis-volumevariabelen en QoL werden Kruskal-Wallis-tests toegepast.

Resultaten

Recidieven en overleving

Basiskenmerken van het cohort staan vermeld in tab. 1. Alleen LR- en IR-patiënten werden voor analyse geïncludeerd (n = 261). De 6 ‘high risk (HR)-patiënten’ gedurende genoemde periode werden buiten beschouwing gelaten.
Recidief/metastasevrij, dat wil zeggen niet aangetoond op beeldvorming en geen biochemisch recidief:
1.
5 jaar: 94,6 %, LR 99,0 %, IR 91,9 %
 
2.
7 jaar: 92,2 %, LR 99,0 %, IR 87,9 %
 
De uitkomsten van LR en IR waren significant verschillend (log rank p = 0,008; zie fig. 4a).
Figuur 4
Kaplan-Meier-diagrammen met boven de x‑as de aantallen patiënten na tijdsinterval. a ziekte controle ‘low-risk’ (LR) versus ‘intermediate-risk’ (IR), log rank p = 0,008. b ziekte controle leeftijd < mediaan versus leeftijd ≥ mediaan, log rank p = 0,17. c algehele overleving LR versus IR, log rank p = 0,53
Afbeelding vergroten
De tijd tot recidiveren c. q. metastasering was mediaan 44,5 maanden, gemiddeld 55,1 maanden. Elf van de 24 recidieven werden vastgesteld na vijf jaar.
De mediane leeftijd binnen deze patiëntengroep van 261 was 67,7 jaar. Er was geen significant verschil in ziektecontrole tussen de subgroepen < 67,7 en ≥ 67,7 jaar (log rank p = 0,17; zie fig. 4b).
Binnen tien jaar na brachytherapie werden er 23 gevallen met recidieven en/of metastasen aangetoond met beeldvorming en één vermoedelijk recidief met oplopend PSA, maar zonder aantoonbaar substraat op beeldvorming. In elf van de 23 gevallen was er sprake van recidivering c. q. metastasering op meerdere locaties (zie fig. 5). Er overleden 49 patiënten, van wie vijf als gevolg van prostaatkanker. Er was geen significant verschil in algehele overleving tussen LR- en IR-patiënten (log rank p = 0,53; (zie fig. 4c)).
Figuur 5
Schematisch recidiefpatroon. Er waren 23 (van de 261) patiënten die op beeldvorming aangetoonde recidieven en/of metastasen hadden, van wie elf met meerdere locaties (overlapping van cirkels)
Afbeelding vergroten

PSA-recidief en -bouncing

Uit onze gegevens blijkt dat recidivering altijd gepaard ging met PSA-stijging, maar dat er in sommige gevallen met beeldvorming al een recidief kon worden aangetoond voordat een stijging van 2 ng/ml werd bereikt. In zes van de 23 op beeldvorming aangetoonde recidieven was de PSA op dat moment lager dan nadir + 2 ng/ml! Met behulp van multiparametrische MRI en choline-PET-scans vanaf 2012, maar met name ook na de introductie van PSMA-PET in 2016 was het mogelijk lokale recidieven en regionale en afstandsmetastasen te visualiseren.
Een oplopend PSA betekende niet altijd dat er sprake was van een recidief. Bij ongeveer een derde van de patiënten was sprake van een PSA-bounce, dat wil zeggen dat de PSA na een aanvankelijke daling weer ging stijgen, soms ook tot boven nadir + 2 ng/ml. Meestal gebeurde dit tussen één en drie jaar na de behandeling. Wanneer er sprake is van een bounce, neemt de waarde vervolgens weer af. Figuur 6 bevat een voorbeeld van een vrij normale bounce en een vrij extreme dubbele bounce.
Figuur 6
Een PSA-bounce treedt op bij ongeveer 30 % van de patiënten, meestal gedurende de eerste drie jaar na de behandeling. a gematigde, ‘normale bounce’. b uitzonderlijk sterke dubbele bounce
Afbeelding vergroten

QoL

Van de 603 patiënten behandeld in de periode van 1 juli 2009 tot 1 juli 2017 hadden 430 een reeks geregistreerde IPSS-scores die voldeed aan de criteria. Voor de QLQ-C30 + PR25-scores waren dit er 381. De gemiddelde IPSS (scorebereik 0–35) van 430 patiënten is weergegeven in fig. 7a. Alle postimplantieresultaten waren significant hoger dan het basisniveau (p < 0,001). De klachten piekten na drie maanden en namen daarna weer af, maar kwamen niet meer helemaal op het basisniveau.
Figuur 7
Verloop van de gemiddelde mictieklachten van nul tot 24 maanden. Nul maanden is de score voor de behandeling. a IPSS-verloop met 95 %-betrouwbaarheidsinterval. b periode zonder adaptieve planning (n = 102) versus periode met adaptieve planning (n = 328). Na 24 maanden is het onderscheid significant
Afbeelding vergroten
In fig. 7b is onderscheid gemaakt tussen de periode tot medio 2011 (n = 102) en de periode daarna (n = 328). Dat is relevant, want vanaf medio 2011 werd realtime adaptief plannen geïntroduceerd en werd getracht de dosis in de blaashals zo veel mogelijk te beperken. De gemiddelde IPSS-score in de adaptieve serie is iets lager en na 24 maanden zelfs significant lager (p = 0,016).
De meest ervaren ongemakken na de behandeling waren verhoogde mictiefrequentie, nycturie en aandrang. Deze werden vastgesteld met de EORTC-PR25-vragenlijst (zie fig. 8a). Ook hier geldt, net als bij de IPSS, dat de klachten toenamen tot drie maanden na de behandeling (p < 0,001) en vervolgens weer afnamen, maar niet helemaal tot het basisniveau (p < 0,001). Dit betekende dat deze drie klachten voor respectievelijk 53 %, 50 % en 62 % van de patiënten ook na één jaar nog verhoogd waren. Respectievelijk 3,2 %, 3,2 % en 6,6 % gaf na één en/of twee jaar een score 4 (aanzienlijk ongemak). Opvallend was dat ‘onbedoeld urineverlies’ nauwelijks verhoogd was. Slechts 0,8 % van de patiënten gaf score 4 aan voor deze klacht op enig moment na de behandeling. Problemen met de stoelgang door de behandeling waren minimaal (zie fig. 8b). Erectieklachten en droge zaadlozing namen wel toe na de behandeling (p < 0,001). Anders dan de mictieklachten namen de klachten niet af na verloop van tijd, de erectieklachten bleven na drie maanden zelfs licht toenemen. De klachten waren na 24 maanden significant hoger dan na drie maanden (p < 0,001; zie fig. 8c). Opgemerkt moet worden dat slechts 275 patiënten de vragen over erectie en zaadlozing invulden.
Figuur 8
Gemiddeld scoreverloop van relevante vragen uit EORTC-PR25-lijst. Nul maanden is de score voor de behandeling. Voor elke vraag kon worden gekozen uit vier gradaties: 1 niet/geen, 2 een beetje, 3 nogal, 4 heel erg/aanzienlijk. Verloop van: a mictieklachten, b stoelgangproblemen, c seksuele problemen
Afbeelding vergroten

Gerealiseerde dosisverdeling

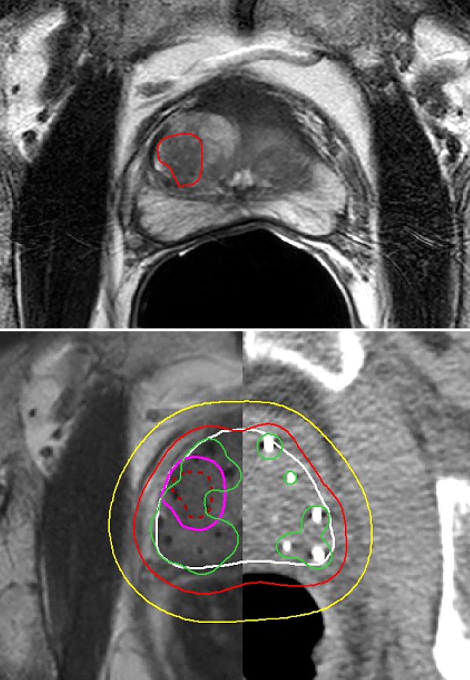
De voorgeschreven dosis was in alle gevallen 145 Gy. De effectieve dosering kan echter beter aangegeven worden met de D90 en de D100. D90 is de isodose die 90 % van de prostaat omsluit en is een maat voor de adequaatheid van de dosis. D100 is de minimale dosis in de hele prostaat en is een maat voor de onderdosering van de prostaat. In de groep van 244 patiënten (zie tab. 1) bij wie de dosisverdeling werd uitgewerkt met behulp van geregistreerde CT- en MRI-beelden, was D90: 176 ± 22 Gy en D100: 98 ± 20 Gy (gemiddelde ± 1 sd). Van onderdosering, dat wil zeggen een dosis lager dan 145 Gy, was vaak sprake in het ventraal-craniale deel van de prostaat rond de blaashals (zie fig. 3).
In fig. 9 zijn de verschillende beelden en de dosisverdeling van een van de 26 onderzochte gevallen weergegeven, waarbij de ingetekende diagnostische T2-gewogen MRI werd geregistreerd met de postimplantatie-MRI en -CT. Er waren elf cases met 1 GTV, tien met 2 GTV’s en vijf met drie GTV’s.
Figuur 9
Boven: diagnostisch T2-gewogen MRI-beeld met ingetekende GTV. Onder: postimplantatie-T2-gewogen MRI-beeld (links) geregistreerd met het CT-beeld voor herkenning van de zaadjes (rechts). De diagnostische MRI is geregistreerd met de postimplantatie MRI, zodat de ingetekende GTV ook zichtbaar is op dit beeld. Rond het GTV is een marge van 3 mm aangebracht tot aan het prostaatkapsel. Isodosen: geel 72,5 Gy, rood 145 Gy (voorgeschreven dosis), groen 290 Gy
Afbeelding vergroten
De gemiddelde ± 1 sd van D90 van de prostaat was 169 ± 21 Gy (spreiding 116–216 Gy), van de ingetekende GTV’s 247 ± 53 Gy (spreiding 153–389 Gy) en van de GTV’s met 3 mm marge tot aan het kapsel 228 ± 43 Gy (spreiding 158–337 Gy). De D90 van zowel het GTV als de GTV met marge was significant hoger dan de D90 van de gehele prostaat (T-test p < 0,001).

Verband tussen dosisverdeling en klinisch resultaat

Er was geen significant verschil in ziektecontrole tussen waarden van D90 groter of gelijk aan de mediane waarde (177 Gy) en kleiner dan de mediane waarde. Hetzelfde gold voor D100 (mediaan = 96 Gy).
Een selectie van de dosis versus QoL-analyses, waarbij het verband significant was (p < 0,05), staat in tab. 2. De dosis in de membranacea urethrae en de uitwendige sluitspier waren sterk gecorreleerd (Pearsons correlatiecoëfficiënt = 0,90) en de relaties met de klachten komen daarom ook sterk overeen. De dosis-volumewaarden in de blaashals en de prostaat alsmede de lengte van de prostatica urethrae en de membranacea urethrae waren voor geen enkele klacht significant. Met name nycturie- en aandranggerelateerde klachten bleken gerelateerd aan de dosis in de membranacea urethrae c. q. de uitwendige sluitspier. Het meest significant waren de verschillen in dosis tussen categorie 0 en categorie 3.
Tabel 2
P‑waarden van de Kruskal-Wallis-test die het verband tussen individuele vragen uit de IPSS en PR25-lijst en fysische en dosimetrische variabelen test. Alleen de variabelen die een significante verband met een of meer klachten lieten zien, zijn weergegeven
lijst-vraag nr
onderwerp
prostaatvolume
D0.1cc PrUr
D0.1cc MeUr
D02cc SlSp
IPSS‑1
gevoel blaas niet leeg
ns
ns
   0,004
0,009
IPSS‑2
frequent plassen
ns
ns
ns
ns
IPSS‑3
plassen met schokjes
ns
ns
ns
ns
IPSS‑4
plas moeilijk kunnen ophouden
ns
ns
   0,005
0,012
IPSS‑5
magere straal
ns
ns
   0,015
ns
IPSS‑6
persen om te plassen
ns
0,020
ns
ns
IPSS‑7
’s nachts vaak plassen
ns
ns
   0,011
0,015
EORTC-31
overdag vaak plassen
ns
ns
ns
0,009
EORTC-32
’s nachts vaak plassen
ns
0,006
   0,006
0,001
EORTC-33
haasten naar toilet
ns
0,014
< 0,001
0,001
EORTC-35
in de buurt van toilet blijven
ns
ns
   0,002
0,004
EORTC-36
Onbedoeld urine verloren
ns
ns
ns
ns
EORTC-37
pijn tijdens plassen
0,002
ns
ns
ns
D0.1cc PrUr-dosis in hoogst gedoseerde 0,1 cm3 van de prostatica urethrae; D0.1cc MeUr-dosis in hoogst gedoseerde 0,1 cm3 van de membranacea urethrae. D02cc SlSp-dosis in hoogst gedoseerde 0,2 cm3 van de uitwendige sluitspier
Aantal patiënten: 196

Discussie en conclusie

Uit onze analyses blijkt dat de resultaten van LDR-brachytherapie in een groep van 101 LR- en 160 IR-patiënten goed waren met vijfjaars en zevenjaars ziektecontrole van respectievelijk 95 % en 92 %. De ziektecontroleanalyse werd uitgevoerd na introductie van realtime plannen en meewegen van de tumorlocaties in de planning. Vergeleken met de resultaten van 328 patiënten voordat deze nieuwe technieken werden ingevoerd lijken de nieuwe resultaten gunstig: de vijfjaars ziektecontroles voor LR- en IR-patiënten voor de in deze studie onderzochte groep waren respectievelijk 99 % en 92 % tegen 92 % en 88 % voor de eerder onderzocht groep [9].
De bijwerkingen waren over het algemeen mild, hoewel de mictieklachtenfrequentie, nycturie en aandrang na de behandeling toenamen, maar na drie maanden weer afnamen. Incontinentie kwam nauwelijks voor, bij mictie noch bij stoelgang. Problemen met erectie en zaadlozing namen na de behandeling toe.
Van de vijftien lokale recidieven waren relatief veel in de basis van de vesiculae gelegen (11 ×, waarvan 2 × in de vesiculae en de in prostaat). Ook andere onderzoekers constateerden dat er in de vesiculae een relatief groot aantal recidieven was [10]. Dit wordt verklaard doordat er bij LDR-brachytherapie niet gedoseerd werd in de basis van de vesiculae. Lamb et al. suggereerden in geval van een basaal gelegen tumor aanvullend onderzoek te doen met multiparametrische MRI om te controleren of er geen doorgroei aanwezig is in de vesiculae alvorens brachytherapie in te zetten [11]. Als dit wel het geval is of als er twijfels zijn, kan beter voor een andere behandeling worden gekozen, bijvoorbeeld HDR-brachytherapie of uitwendige radiotherapie, waarbij de basis van de vesiculae wordt mee bestraald. Van de vijftien lokale recidieven waren er zeven vrij van regionale metastasen of metastasen op afstand. Van deze patiënten ondergingen er vijf een salvagebehandeling; drie middels een HDR-brachytherapie (gericht op de tumor in de prostaat en/of de vesiculae) en twee een cryotherapiebehandeling. Voor twee patiënten werd een ‘active surveillance’-traject ingezet.
Het feit dat bijna de helft van de recidieven werd geconstateerd tussen vijf en tien jaar na de behandeling suggereert dat een follow-up van vijf jaar onvoldoende is en dat het veiliger is om tien jaar aan te houden.
Aangezien zes van de 23 recidieven op beeldvorming werden gedetecteerd bij een PSA-stijging < 2 ng/ml boven nadir lijkt het Phoenix-criterium een weinig gevoelige indicator voor het optreden van een recidief. Een stijging van de PSA tussen één en drie jaar bleek vaak een bounce te zijn. Caloglu et al. toonden aan dat de tijd tot de eerste PSA-stijging de meest onderscheidende factor is tussen biochemisch recidief en PSA-bounce [12].
D90 van de prostaat is de meest gangbare doseringsparameter voor het onderzoeken van dosis-effectrelaties [13]. Dit onderzoek laat zien dat de dosering in termen van D90 van de prostaat gemiddeld ruim boven de voorgeschreven dosis van 145 Gy lag. In een steekproef van 26 gevallen was de D90 van het GTV + marge gemiddeld zelfs 57 % hoger dan 145 Gy en was deze nooit lager dan 145 Gy. Daar staat tegenover dat D100 van de prostaat gemiddeld ruim lager was dan 145 Gy. Dat betekent dat kleine delen van de prostaat werden ondergedoseerd. De locatie van onderdosering was voornamelijk craniaal-ventraal tegen de blaashals gelegen. Deze onderdosering werd voorzien en geaccepteerd omdat er rond de blaashals zelden een tumor zichtbaar was. Voor een goede dosisdekking zouden bovendien zaadjes in de blaashals moeten worden geplaatst, wat onwenselijk was met het oog op de voorziene mictieklachten.
In de periode tot en met 2011 wezen meerdere onderzoeken uit dat de dosis in de blaas c. q. blaashals en het prostaatvolume voorspellend waren voor mictieklachten [1416]. Uit het actuele onderzoek naar vroege en late mictieklachten kwam echter naar voren dat mictieaandrang en nycturie gerelateerd waren aan de dosis in de membranacea urethrae en de uitwendige sluitspier, en dat de dosis in de blaashals niet gerelateerd was. Mogelijk kwam dit doordat de blaashals vanaf deze periode zo veel mogelijk ontzien werd. De dosis in de membranacea urethrae was sterk gecorreleerd met de dosis in de uitwendige sluitspier. Daarom kan niet worden vastgesteld welke van beide de werkelijke voorspeller was voor mictieaandrang en nycturie, maar de laatste lijkt het meest logisch. In een onderzoek van Boyce-Fappiano et al. onder 227 patiënten kwamen de dosis in de uitwendige sluitspier en de lengte van de membranacea urethrae naar voren als voorspellend voor mictieklachten [17]. De lengte van de membranacea urethrae was in onze onderzoeksgroep voor geen enkele deelklacht voorspellend.
Dit onderzoek kende een aantal beperkingen. De gewenste FU tot tien jaar kon niet worden waargemaakt voor de patiëntengroep van tab. 1. De FU van relatief veel patiënten eindigde voor tien jaar. De FU werd vaak op eigen verzoek overgedragen aan de huisarts of uroloog. De mediane FU was daardoor beperkt tot 84 maanden. Het feit dat 106 van de 381 patiënten de vragen over de kwaliteit van de erectie en zaadlozing niet invulden maakt het onzeker of fig. 8c representatief is voor de hele groep.
Afgelopen jaren werd LDR-brachytherapie in steeds meer instituten stopgezet. Mogelijke redenen hiervoor zijn de ontwikkelingen in alternatieve behandelopties, zoals active surveillance, gehypofractioneerde stereotactische externe radiotherapie en geavanceerde prostatectomie middels robotchirurgie. Daarnaast spelen organisatorische aspecten, zoals het opleiden van radiotherapeuten, fysici en radiotherapeutisch laboranten en personeelskrapte, een belangrijke rol. De behandelresultaten echter lijken niet onder te doen voor andere behandelmethoden. Een meta-analyse van behandelresultaten voor gelokaliseerde prostaatkanker (LR en IR) van stereotactische externe radiotherapie met veertien publicaties gaf bijvoorbeeld een vijfjaars biochemische controle van 95,3 % (95 %-BI 91,3–97,5). Dit is vergelijkbaar met de 94,6 % vijfjaars controle van onze gemengde LR-IR-groep [18].
Opgemerkt moet worden dat low risk-patiënten tegenwoordig niet meer radicaal behandeld worden, maar meestal een active surveillance-traject doorlopen. LDR-brachytherapie blijft echter een zeer goede behandeling voor patiënten met gelokaliseerd intermediate risk-prostaatcarcinoom met de mogelijkheid tot dosisescalatie binnen GTV en daarmee een zeer hoge lokale controle met beperkte toxiciteit.
Open Access This article is licensed under a Creative Commons Attribution 4.0 International License, which permits use, sharing, adaptation, distribution and reproduction in any medium or format, as long as you give appropriate credit to the original author(s) and the source, provide a link to the Creative Commons licence, and indicate if changes were made. The images or other third party material in this article are included in the article’s Creative Commons licence, unless indicated otherwise in a credit line to the material. If material is not included in the article’s Creative Commons licence and your intended use is not permitted by statutory regulation or exceeds the permitted use, you will need to obtain permission directly from the copyright holder. To view a copy of this licence, visit http://creativecommons.org/licenses/by/4.0/.

Dr. Marcel J. Steggerda

fysicus

Dr. Eva C. Rijkmans

radiotherapeut oncoloog

Thelma Witteveen

radiotherapeut oncoloog
Titel
Methoden en resultaten van LDR-brachytherapie voor patiënten met gelokaliseerd prostaatcarcinoom; een historisch overzicht van het Antoni van Leeuwenhoek
Auteurs
Dr. Marcel J. Steggerda
Dr. Eva C. Rijkmans
Thelma Witteveen
Publicatiedatum
11-06-2025
Uitgeverij
BSL Media & Learning
Gepubliceerd in
Tijdschrift voor Urologie / Uitgave 1/2026
Print ISSN: 2211-3037
Elektronisch ISSN: 2211-4718
DOI
https://doi.org/10.1007/s13629-025-00475-3
1.
go back to reference Stock RG, Stone NN, DeWyngaert JK, et al. Prostate specific antigen findings and biopsy results following interactive ultrasound guided transperineal brachytherapy for early stage prostate carcinoma. Cancer. 1996;77:2386–92.CrossRefPubMed
2.
go back to reference Reese AC, Pierorazio PM, Han M, et al. Contemporary evaluation of the national comprehensive cancer network prostate cancer risk classification system. Urology. 2012;80:1075–9.CrossRefPubMed
3.
go back to reference Henry AM, Al-Qaisieh B, Gould K, et al. Outcomes following iodine-125 monotherapy for localized prostate cancer: the results of Leeds 10-year single-center brachytherapy experience. Int J Radiat Oncol Biol Phys. 2010;76:50–6.CrossRefPubMed
4.
go back to reference Guinot JL, Casanova J, Gonzalez-Perez V, et al. Long-term results with custom-linked iodine-125 seeds and real-time brachytherapy in low- and intermediate-risk prostate cancer. J Contemp Brachytherapy. 2022;14:215–21.CrossRefPubMedPubMedCentral
5.
go back to reference Roach M 3rd, Hanks G, Thames H Jr, et al. Defining biochemical failure following radiotherapy with or without hormonal therapy in men with clinically localized prostate cancer: recommendations of the RTOG-ASTRO Phoenix consensus conference. Int J Radiat Oncol Biol Phys. 2006;65:965–74.CrossRefPubMed
6.
go back to reference Barry MJ, Fowler FJ Jr, O’Leary MP, et al. The American urological association symptom index for benign prostatic hyperplasia. The Measurement Committee of the American Urological Association. J Urol. 1992;148(5):1549–57.CrossRefPubMed
7.
go back to reference Andel G van, Bottomley A, Fosså SD, et al. An international field study of the EORTC QLQ-PR25: a questionnaire for assessing the health-related quality of life of patients with prostate cancer. Eur J Cancer. 2008;44(16):2418–24.CrossRefPubMed
8.
go back to reference Steggerda M, Boom F van de, Witteveen T, et al. Displacement patterns of stranded I‑125 seeds after permanent brachytherapy of the prostate: dosimetry in the operation room put into perspective. Radiother Oncol. 2017;124:68–73.CrossRefPubMed
9.
go back to reference Witteveen TH, Heemsbergen WD, Moonen LM, et al. Choline/PET CT and MRI detection of recurrences after I‑125 seed implant brachytherapy of prostate cancer. Radiother Oncol. 2015;115:S63.CrossRef
10.
go back to reference Salerno KE, Turkbey B, Lindenberg L, et al. Detection of failure patterns using advanced imaging in patients with biochemical recurrence following low-dose-rate brachytherapy for prostate cancer. Brachytherapy. 2022;21:442–50.CrossRefPubMedPubMedCentral
11.
go back to reference Lamb DS, Greig L, FitzJohn T, et al. Relapse patterns after low-dose-rate prostate brachytherapy. Brachytherapy. 2021;20:291–5.CrossRefPubMed
12.
go back to reference Caloglu M, Ciezki JP, Reddy CA, et al. PSA bounce and biochemical failure after brachytherapy for prostate cancer: a study of 820 patients with a minimum of 3 years of follow-up. Int J Radiat Oncol Biol Phys. 2011;80:735–41.CrossRefPubMed
13.
go back to reference Ash D, Al-Qaisieh B, Bottomley D, et al. The correlation between D90 and outcome for I‑125 seed implant monotherapy for localized prostate cancer. Radiother Oncol. 2006;79:185–9.CrossRefPubMed
14.
go back to reference Steggerda M, Poel H van der, Moonen L. An analysis of the relation between physical characteristics of prostate I‑125 seed implants and lower urinary tract symptoms: bladder hotspot dose and prostate size are significant predictors. Radiother Oncol. 2008;88:108–14.CrossRefPubMed
15.
go back to reference Steggerda M, Witteveen T, Boom F van den, et al. Is there a relation between the radiation dose to the different sub-segments of the lower urinary tract and urinary morbidity after brachytherapy of the prostate with I‑125 seeds? Radiother Oncol. 2013;109:251–5.CrossRefPubMed
16.
go back to reference Hathout L, Folkert MR, Kollmeier MA, et al. Dose to the bladder neck is the most important predictor for acute and late toxicity after low-dose-rate prostate brachytherapy: implications for establishing new dose constraints for treatment planning. Int J Radiat Oncol Biol Phys. 2014;90:312–9.CrossRefPubMedPubMedCentral
17.
go back to reference Boyce-Fappiano D, Bathala TK, Ye R, et al. Predictors of urinary toxicity with MRI-assisted radiosurgery for low-dose-rate prostate brachytherapy. Brachytherapy. 2020;19:574–83.CrossRefPubMed
18.
go back to reference Jackson WC, Silva J, Hartman HE, et al. Stereotactic body radiation therapy for localized prostate cancer: a systematic review and meta-analysis of over 6000 patients treated on prospective studies. Int J Radiat Oncol Biol Phys. 2019;104:778–89.CrossRefPubMedPubMedCentral