Ga naar de hoofdinhoud
Top

Mammaradiologie – welke onderzoeken vraagt de huisarts aan?

  • 08-06-2016
Gepubliceerd in:

Samenvatting

De prognose van een mammacarcinoom is afhankelijk van het tijdstip van de diagnose en de primaire behandeling. De huisarts speelt een belangrijke rol aan het begin van dit traject. In deze bijdrage wordt een overzicht gegeven van de verschillende vormen van beeldvormende diagnostiek, die als standaardprocedures gelden voor het diagnosticeren van een mammacarcinoom. Ook wordt ingegaan op de wijze waarop de radioloog de verdenking op maligniteit verwoordt door middel van de BI-RADS-classificatie. Aan de hand van enkele casus wordt geïllustreerd hoe de theorie in praktijk kan worden gebracht.
An erratum to this article can be found at /link?doi=10.1007/s12414-016-0184-8.
An erratum to this article can be found at /link?doi=10.1007/s12414-016-0150-5.
Entreevragen
1.
29-jarige vrouw met palpabele zwelling in de rechtermamma sinds twee maanden. Bij lichamelijk onderzoek is deze los van de onderlaag. Familieanamnese en voorgeschiedenis betreffende mammacarcinoom zijn negatief. Naar wie verwijst u patiënte? Wat is het onderzoek van keuze?
 
2.
53-jarige vrouw met palpabele zwelling sinds een week in het laterale bovenkwadrant linkermamma. Bij lichamelijk onderzoek circa 2 cm groot. Negatieve familieanamnese en voorgeschiedenis. Naar wie verwijst u patiënte? Wat is het onderzoek van keuze?
 
3.
Vrouw 27 jaar, palpabele zwelling rechtermamma. Verslag echografie: de palpabele zwelling in het laterale bovenkwadrant rechts op 10 uur komt overeen met geclusterde microcysten, in totaal 27 × 15 mm. BI-RADS 2: benigne. Wat is het beleid voor de huisarts?
 
4.
Man met sinds vier weken pijnlijke, palpabele zwelling links retromamillair. Bij lichamelijk onderzoek is de zwelling circa 2 cm groot. Naar wie verwijst u patiënt? Is beeldvorming noodzakelijk?
 

Inleiding

In Nederland wordt per jaar bij circa 14.000 vrouwen en 100 mannen de diagnose mammacarcinoom gesteld en bij ongeveer 1.900 vrouwen carcinoma in situ (een voorstadium van borstkanker). In een huisartsenpraktijk wordt gemiddeld ieder jaar bij twee nieuwe patiënten een mammacarcinoom vastgesteld, het aantal vrouwen met de diagnose mammacarcinoom in de voorgeschiedenis bedraagt er ruim vijftien [1].
Hoe beter de primaire behandeling, hoe lager het percentage lokale recidieven en hoe beter de prognose. Gemeten over de jaren 2003–2006 treedt in Nederland na borstsparende behandeling bij gemiddeld 2,4 % een lokaal recidief op, na amputatie bij gemiddeld 3,5 %. Deze percentages tonen een lichte daling ten opzichte van de voorgaande vijf jaren. Deze verbetering kan zowel worden toegeschreven aan de screening als aan de primaire behandeling [2]. Mammacarcinoom is en blijft echter een van de belangrijkste doodsoorzaken bij vrouwen tussen 30 en 59 jaar [3].
Bij de primaire diagnostiek en behandeling speelt de huisarts een cruciale rol. Deze is de tussenpersoon voor de vrouwen die worden doorverwezen vanuit het Bevolkingsonderzoek op Borstkanker (BOB). Daarnaast worden patiënten, afhankelijk van klachtenpatroon of andere indicaties, verwezen naar de afdeling Radiologie of naar de mammapoli van een ziekenhuis. Ook deze laatste groep komt vrijwel altijd op de afdeling Radiologie terecht. Dit is voor ons een reden om enkele aspecten van de radiologische mammadiagnostiek nog eens toe te lichten.

Verschillende vormen van diagnostiek

Mammografie

Bij symptomatische vrouwen, bijvoorbeeld vrouwen met een palpabele zwelling, wordt vanaf 30 jaar altijd begonnen met het maken van een mammogram. Als het symptoom hiermee onvoldoende kan worden verklaard, wordt een aanvullende echografie verricht. De sensitiviteit van diagnostische mammografie bedroeg in een grote retrospectieve studie 85,5 % bij een specificiteit van 87,7 % [4].
Tijdens een standaardmammogram worden van elke mamma minstens twee foto’s gemaakt (fig. 1). Dit onderzoek kan worden aangevuld met een vergrotingsopname of een opname van een detail, maar steeds vaker is de mammograaf uitgerust met tomosynthese. Hiermee wordt een serie opeenvolgende röntgenopnamen gegenereerd, waardoor het borstklierweefsel driedimensionaal kan worden afgebeeld, als het ware in dunne plakjes. In een Noorse screeningsstudie leidde tomosynthese tot een verbetering van de tumordetectie [5].
Een mammogram geeft een goed overzicht van het borstklierweefsel en kan tumoren onderscheiden en calcificaties detecteren die op ductaal carcinoma in situ kunnen wijzen. Ook de reproduceerbaarheid, waardoor het mogelijk is te vergelijken en veranderingen te ontdekken, maakt dat het mammogram nog steeds het onderzoek van eerste keuze is bij mammapathologie.
Er zitten ook nadelen aan het maken van een mammogram. Een van de nadelen is dat er gebruik wordt gemaakt van röntgenstralen, waarvan we weten dat er een risico bestaat op stralingsgeïnduceerde mammatumoren. Dit risico is afhankelijk van de startleeftijd waarop het mammogram wordt gemaakt. Het is zeer laag bij vrouwen tussen de 50 en 65 jaar: één per miljoen per mGy dosis. Het risico voor een vrouw tussen de 25 en 30 jaar is bijna tweemaal zo groot, maar nog steeds laag: twee per miljoen per mGy dosis. Per volledig mammografisch onderzoek bestaande uit vier opnamen bedraagt de gemiddelde dosis 5,2 mGy. De dosis van een tomosynthese is even hoog als die van een mammogram [5, 6].
Ook al zijn de hieruit te berekenen individuele risico’s laag, ze houden ons wel scherp en zijn mede reden om:
  • bij vrouwen onder de 30 jaar (die een zeer geringe kans op kanker hebben) primair geen mammografie te maken;
  • jaarlijkse screening (i.p.v. een keer in de twee jaar) te beperken tot vrouwen met verhoogd risico op borstkanker;
  • bij voorkeur niet zowel tomosynthese als mammografie te verrichten. Bij de nieuwste apparatuur is de tomosyntheseafbeelding gelijkwaardig aan het standaardmammogram, waardoor dit laatste kan komen te vervallen.
Een ander nadeel van het mammogram is dat de betrouwbaarheid niet bij elke vrouw even goed is: als er sprake is van een grote hoeveelheid klierweefsel, kan een tumor daardoor onopgemerkt blijven.
Hierover is de laatste tijd veel te doen geweest: deze zogenoemde dense mammae zijn niet alleen moeilijk te beoordelen, er zijn ook aanwijzingen dat het vele klierweefsel een onafhankelijke extra risicofactor is om borstkanker te ontwikkelen [7]. Terwijl het extra risico dus een reden zou kunnen zijn om het screeningsprogramma te intensiveren, is de screening juist bij deze groep echter het minst doelmatig. Dit heeft vooral in de lekenpers veel onrust veroorzaakt en het is belangrijk dat zowel de huisarts als de specialist zich inspant om dit dilemma goed aan de patiënt uit te leggen en de alternatieven te bespreken.
Het is van belang patiënten die weten dat ze dense mammae hebben erop te wijzen, dat het mammogram weliswaar minder goed te beoordelen is dan bijvoorbeeld bij adipeuze mammae, maar dat het mammogram toch nog steeds voldoende goed is om mee te beginnen, zeker bij een patiënte met symptomen. Er zal dan wel vaker aanvullend onderzoek, zoals echografie worden verricht.
Ook zijn dense mammae geen reden om de mammografie als screeningsmethode af te zweren. Er zijn vooralsnog geen studies waaruit blijkt dat die screening beter door andere methoden, zoals screeningsechografie of MRI, kan worden overgenomen. Een screeningsechografie heeft veel te veel fout-positieve uitslagen en een MRI is, behalve dat die ook veel fout-positieve resultaten geeft, te kostbaar en te invasief om lichtvaardig als screeningsmethode in te zetten [7]. Een van de studies over dit onderwerp is de Nederlandse DENSE trial, waarbij dense mammae zowel onderzocht worden met mammografie als met MRI en waarbij eveneens gekeken wordt naar de kosteneffectiviteit [8].
Ten slotte stuit het ondergaan van een mammografie nogal eens op bezwaren bij de vrouw vanwege de pijnklachten. Tot voor kort werden deze afgedaan met de opmerking dat compressie van de mammae nu eenmaal noodzakelijk was, maar ook op dit gebied zijn nieuwe ontwikkelingen gaande. Er is een compressiepaddle ontwikkeld, die met een signaal kan aangeven, wanneer de optimale borstcompressie is bereikt, waardoor de vrouw niet aan onnodige druk en bijbehorende pijnklachten hoeft te worden blootgesteld [9]. De introductie van deze paddle door diverse fabrikanten van mammografieapparatuur is in volle gang.
Figuur 1
Standaardmammogram, MLO-opnamen en CC-opnamen van dense mammae.
Afbeelding vergroten

Echografie

Echografie staat erom bekend, dat het een snel, gemakkelijk en veilig onderzoek is. In de mammaradiologie levert het onderzoek vaak een verklaring voor de symptomen van de patiënt of voor moeilijk te interpreteren mammografische beelden. Met echografie wordt een afwijking op een andere manier in beeld gebracht, waardoor bijvoorbeeld het onderscheid kan worden gemaakt of een knobbel bestaat uit solide weefsel of een cyste (fig. 2). Ook vormafwijkingen van siliconenprothesen kunnen in beeld worden gebracht. Wanneer een palpabele afwijking niet zichtbaar is op het mammogram, kan echografie differentiëren tussen normaal klierweefsel en afwijkend weefsel.
Bij de meerderheid van de afwijkingen kan de radioloog na de echo direct uitsluitsel geven of er sprake is van een benigne verklaring voor de klachten, of dat er verder onderzoek moet worden gedaan voor een definitieve diagnose, bijvoorbeeld een aanvullende punctie.
Als nadeel geldt dat het een vluchtig onderzoek is, dat alleen goed reproduceerbaar is als het op gestandaardiseerde wijze wordt vastgelegd. Een valkuil is de palpabele afwijking die op mammografie en echografie niet als een duidelijke afwijking in beeld komt. De patiënt moet dan het advies krijgen, om bij blijvende klachten terug te komen, bijvoorbeeld na drie maanden. Bij een persisterende palpabele afwijking mag dus niet vertrouwd worden op een echografie zonder afwijkingen, maar moet de patiënt toch worden doorverwezen [6].
Hand-held echografie mist overzicht, waardoor het niet geschikt is voor screening. Er zijn inmiddels wel geautomatiseerde echografiesystemen in de handel, waarmee een gehele borst kan worden bekeken, maar de resultaten tonen nog te veel fout-positieve bevindingen. In een grote Amerikaanse studie was slechts 6,8 % van alle gevonden afwijkingen maligne [10].
De kracht van de echografie ligt in het onderzoek van palpabele afwijkingen en van lokale afwijkingen op het mammogram (of op de MRI) die nader onderzoek vereisen.
  • Bij een patiënt jonger dan 30 jaar is echografie het onderzoek van eerste keuze.
  • Bij een patiënt ouder dan 30 jaar is echografie het onderzoek van eerste keuze, nadat een mammogram is gemaakt.
  • Daarnaast is de echografie voor de radioloog onmisbaar bij het uitvoeren van puncties, biopsieën en lokalisatieprocedures.
Ook bij palpabele klachten bij zwangere vrouwen of bij vrouwen die borstvoeding geven, wordt in eerste instantie een echografie verricht. Bij deze vrouwen is het klierweefsel zeer dens, waardoor een mammogram minder betrouwbaar is. Wanneer er bij echografie afwijkingen worden gevonden, komt deze groep vrouwen echter vaak alsnog voor mammografie in aanmerking [6].
Figuur 2
Echografische afbeelding van een irregulaire onscherp begrensde massa links lateraal van de tepel. Op basis van de vorm en begrenzing moet deze massa worden verslagen als verdacht voor maligniteit, BI-RADS 4 (pathologie: invasief ductaal carcinoom).
Afbeelding vergroten

Prothesen

Vrouwen met siliconenprothesen tussen 50 en 75 jaar hebben recht op deelname aan het BOB. Er is geen verhoogd risico op het ontstaan van lekkage als gevolg van compressie tijdens de mammografie, de laboranten passen de compressie erop aan (fig. 3). Als de prothese echter zo groot is, dat hierdoor 70 % of meer mammaweefsel onzichtbaar wordt (het BOB heeft hiervoor een formule ontwikkeld), dan wordt de vrouw verwezen naar de afdeling Radiologie van het ziekenhuis. Van de radioloog en de laborant aldaar wordt verwacht, dat zij zich inspannen om speciale opnamen te maken, waarbij de prothese wordt weggedrukt, zodat er meer klierweefsel in beeld komt. Ze kunnen ook besluiten tot screening met echografie. Omdat het klierweefsel meer uitgespreid ligt over de prothese, zijn de resultaten hiervan relatief goed. Screening met MRI wordt niet aanbevolen [11].
Bij symptomatologie wordt (boven de 30 jaar) ook altijd eerst een mammografie verricht, aangevuld met echografie.
Figuur 3
Mammografie rechts van een vrouw met een retroglandulaire mammaprothese. Dit mammogram kan als goed beoordeelbaar worden beschouwd en toont geen afwijkingen. In verband met de aanwezigheid van de prothese wordt dit mammogram verslagen als BI-RADS 2 (benigne).
Afbeelding vergroten

Aanvullende diagnostiek in de tweede lijn

Stereotaxie

Indien er een afwijking is op het mammogram die niet te herkennen is met echografie, is het mogelijk om met behulp van stereotaxie toch een biopsie te verrichten. Denk hierbij aan suspecte calcificaties in de mamma, een gebied met architectuurverstoring of een massa die te klein is om goed te kunnen worden onderscheiden met echografie.
Een stereotactische procedure kan zowel in zittende als in liggende positie plaatsvinden. De borst wordt gecomprimeerd en vanuit twee hoeken gefotografeerd, waardoor de exacte locatie van de afwijking kan worden berekend (fig. 4). Aansluitend worden er (vacuümgeleide) biopten genomen en wordt de biopsielocatie meestal voorzien van een marker/clip, zodat de chirurg de locatie kan terugvinden.
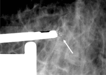
Figuur 4
Opname van stereotactische benadering van gegroepeerde calcificaties (pijl) met de biopsienaald ter plaatse.
Afbeelding vergroten

MRI

Met een MRI-onderzoek, waarbij intraveneus contrast (gadolineum) wordt gegeven, kunnen zowel benigne als maligne afwijkingen in beeld gebracht worden, waarbij een veel hogere sensitiviteit bereikt kan worden dan bij de mammografie.
Het onderscheid tussen een benigne en maligne afwijking is gebaseerd op een verschillend type doorbloeding. Bij maligne tumoren treedt angioneogenese op: er is een pathologische toename van het aantal vaten en van de permeabiliteit van de vaatwand (fig. 5). Hierdoor kleuren maligne tumoren veel sneller en intenser aan [12].
De belangrijkst indicaties voor MRI zijn:
  • preoperatieve stadiëring bij mammacarcinoom om de exacte tumorgrootte te bepalen als men twijfelt tussen een mammasparende en ablatieve operatie;
  • monitoring van de tumorgrootte als de patiënte eerst met neoadjuvante chemotherapie wordt behandeld, alvorens te worden geopereerd;
  • screening bij patiënten met een zeer sterk verhoogd risico, met name bij genmutatiedraagsters;
  • plastisch-chirurgische vraagstellingen in het kader van postoperatieve mammareconstructie en protheseplaatsing.
Als probleemoplosser bij een moeilijk mammogram of echogram wordt MRI slechts zelden ingezet, omdat in de praktijk biopsie wordt geprefereerd boven aanvullende beeldvorming.
Figuur 5
MRI mammae na contrast, uitgevoerd omdat patiënte neoadjuvante chemotherapie zal ondergaan. Axiale coupes met hierin een pathologisch aankleurende irregulaire massa centraal in de rechtermamma (pijlen) met hypertrofische bloedvaten. Deze tumor was al bekend van mammografie en echografie. BI-RADS 6, PA-bewezen maligniteit.
Afbeelding vergroten

Verwijscriteria voor de huisarts

De NHG-Standaard en de Richtlijn Mammacarcinoom hebben in de verwijscriteria verwerkt welke symptomatologie op de mammapoli thuishoort en bij welke kan worden volstaan met een verwijzing naar de afdeling Radiologie [6, 13]. Dit geldt ook voor asymptomatische patiënten met een verhoogd risico, die voor screening in aanmerking komen buiten het bevolkingsonderzoek om. De werkwijze wordt daarnaast bepaald door de organisatiestructuur van het ziekenhuis.
Verwijzing naar mammapoli:
  • klinische verdenking op maligniteit;
  • lokale palpabele afwijking met verdacht mammogram;
  • persisterende klachten (3 maanden) met niet-verdacht mammogram:
    • lokale palpabele afwijking;
    • een door de vrouw gevoeld knobbeltje;
    • lokale pijn of gevoeligheid in één borst;
  • bruine of bloederige tepeluitvloed;
  • aanwijzingen voor sterk verhoogd risico met mogelijke indicatie voor genetisch onderzoek en DNA-diagnostiek.
Verwijzing naar afdeling Radiologie voor mammografie:
  • gelokaliseerde palpabele afwijking zonder aanwijzingen voor maligniteit;
  • een door de vrouw gevoeld knobbeltje zonder aanwijzingen voor maligniteit;
  • gelokaliseerde pijn of gevoeligheid in één borst zonder aanwijzingen voor maligniteit;
  • diffuus knobbelig klierweefsel met klachten van mastopathie;1
  • matig verhoogd risico, waarvoor jaarlijks mammografie;
  • follow-up na mammacarcinoom, vijf jaar na behandeling, > 60 jaar.2
Patiënten die een mastectomie hebben gehad kunnen worden terugverwezen naar het BOB voor screening van hun contralaterale mamma. Patiënten die mammasparende therapie hebben ondergaan kunnen na vijf jaar worden terugverwezen naar de huisarts voor jaarlijkse controle door palpatie en een mammogram om de twee jaar (bij voorkeur in ziekenhuis van behandeling).
Als een vrouw zich met nieuwe klachten presenteert, is een recent mammogram zonder afwijkingen (bijv. via de BOB) geen reden om hiervan af te wijken, en dient patiënte voor een nieuw mammogram te worden verwezen [6].
Er is geen indicatie voor screening bij mannen, omdat de incidentie daarvoor veel te laag is. Bij een bewezen mammacarcinoom bij de man is wel een consult klinische genetica geïndiceerd, omdat de kans op BRCA1/2-mutatie ten minste 10 % bedraagt.
Verwijzing naar afdeling Radiologie voor echografie:
  • vrouwen en mannen jonger dan 30 jaar met symptomatologie;
  • symptomatologie bij vrouwen die zwanger zijn of borstvoeding geven;
  • bij een mastitis waarbij een verdenking op abces aanwezig is;
  • vraagstelling die specifiek gericht is op problemen met siliconenprothesen.

De aanvraag

Voor een goede correlatie van klinische gegevens en de beeldvorming is een duidelijke aanvraag belangrijk. Beschrijf de aard van de klacht en in welk kwadrant deze zich bevindt, eventueel kloksgewijs (fig. 6). Verder kan worden vermeld hoe lang de klacht bestaat, de voorgeschiedenis van de patiënt en de familieanamnese (mammacarcinoom, ovariumcarcinoom).
Figuur 6
Kloksgewijze orientatie van beide mammae.
Afbeelding vergroten

BI-RADS-classificatie en beleidsadvies

De radioloog hoort het mammografie- en echografieverslag te besluiten met een BI-RADS-classificatie (Breast Imaging Reporting and Data System), om op een gestandaardiseerde manier een inschatting van de maligniteitsgraad te geven. Dit is voor de radiologie een kwaliteitsindicator. Als een biopsie geïndiceerd is, moet de radioloog zich inspannen om deze het liefst aansluitend uit te voeren. Verder moet patiënt een afspraak krijgen op de mammapoli, voor het bespreken van de uitslag en het verdere beleid. De BI-RADS-classificatie met bijbehorende omschrijving en beleidsadvies is in 2013 herzien, zie tab. 1 [14].
Tabel 1
Overzicht BI-RADS-classificaties en beleidsadvies.
omschrijving
beleidsadvies
maligniteitskans
BI-RADS 0: incompleet
nieuwe afspraak of vergelijking met eerdere onderzoeken
n.v.t.
BI-RADS 1: normaal
eventueel individueel beleidsadvies
0 %
BI-RADS 2: benigne
eventueel individueel beleidsadvies
0 %
BI-RADS 3: waarschijnlijk benigne
ten minste eenmaal controle na 6 maanden, verdere controles in overleg
> 0 %–≤ 2 %
BI-RADS 4: verdacht
4a. lage verdenking
4b. matige verdenking
4c. hoge verdenking
biopsie geïndiceerd
> 2 %–< 95 %
> 2 %–≤ 10 %
> 10 %–≤ 50 %
> 50 %–< 95 %
BI-RADS 5: zeer verdacht
biopsie geïndiceerd
≥ 95 %
BI-RADS 6: PA-bewezen maligniteit
 
n.v.t.

BI-RADS-classificatie 0: incompleet

Bij deze classificatie is het onderzoek nog niet compleet, bijvoorbeeld omdat zonder vergelijking met foto’s van elders geen definitief verslag mogelijk is, of er moet nog een aanvullende echografie worden gemaakt, maar de patiënte kon daar niet op wachten. Deze categorie is een voorlopige uitslag. In een addendum moet zo spoedig mogelijk een definitieve BI-RADS-classificatie worden afgegeven. Dit valt onder de verantwoordelijkheid van de radioloog.

BI-RADS-classificatie 1: normaal

Er is niets op te merken. Dit is een normaal onderzoek.

BI-RADS-classificatie 2: benigne

Geïnvolueerde en verkalkte fibroadenomen, huidcalcificaties en vetbevattende afwijkingen, zoals oliecysten, hebben alle een karakteristiek benigne aspect op een mammogram en vallen onder deze classificatie. Als er sprake is van status na een chirurgische ingreep, wordt ook voor de BI-RADS 2-categorie gekozen (fig. 7). Dit geldt dus ook voor een routinecontrole na een borstsparende operatie voor mammacarcinoom.
Echografisch typische BI-RADS 2-afwijkingen zijn cysten en solide afwijkingen met benigne kenmerken, stabiel in de tijd.
Figuur 7
Status na mammasparende therapie rechtermamma. Er zijn clips geplaatst door de chirurg, ten behoeve van de radiotherapie. Geen aanwijzingen voor lokaal recidief of nieuwe maligniteit. BI-RADS 2: benigne.
Afbeelding vergroten

BI-RADS-classificatie 3: waarschijnlijk benigne

Een BI-RADS 3-classificatie wordt gegeven aan afwijkingen met een zeer kleine kans op een maligniteit (tussen 0 en ≤ 2 %) en houdt in dat de afwijking minstens eenmaal wordt gecontroleerd, zes maanden na het eerste onderzoek.
Er zijn meerdere prospectieve studies die de veiligheid en de effectiviteit van deze methode (controle in plaats van biopsie) aantonen in geval van:
  • niet-verkalkte, scherp begrensde ronde of ovale massa, die in beeld komt op het mammogram, maar niet palpabel is;
  • veldje asymmetrisch klierweefsel, dat er op zichzelf benigne uitziet;
  • solitair gelegen groepje puntvormige, dat wil zeggen benigne uitziende calcificaties;
  • echografisch beeld van fibroadenoom (fig. 8) of een gecompliceerde cyste, dat wil zeggen met troebele inhoud.
In Nederland wordt bij een BI-RADS 3-afwijking vaak toch gekozen voor punctie, omdat er dan geen controleperiode hoeft te volgen. Dit is echter niet altijd mogelijk of gewenst, er zullen altijd situaties zijn waarbij een controle geprefereerd wordt boven een punctie.
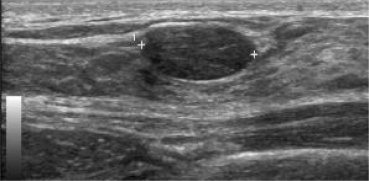
Figuur 8
Echografische afbeelding van een scherp begrensde, ovale, parallelle massa in het mediale bovenkwadrant van de rechtermamma, passend bij een fibroadenoom. Ten tijde van het eerste onderzoek wordt hiervoor een BI-RADS 3 afgegeven. Als de massa na zes maanden onveranderd is gebleven, dan wordt de classificatie een BI-RADS 2 en is verdere controle niet meer nodig.
Afbeelding vergroten

BI-RADS-classificatie 4: verdacht

Afwijkingen met deze classificatie hebben niet het klassieke aspect van een maligniteit, maar zijn wel voldoende verdacht om te biopteren (fig. 9). Als aan een afwijking de eindclassificatie BI-RADS 4 wordt gegeven, kan het zijn dat de afwijking toch benigne blijkt.
De kans op maligniteit varieert in deze categorie sterk van 2–95 %, daarom kan optioneel gebruikgemaakt worden van subclassificaties, 4a, 4b en 4c, zodat de patiënt en de verwijzer beter geïnformeerd worden over de kans op maligniteit; zie hiervoor tab. 1.
Figuur 9
Onscherp begrensde irregulaire massa laterale onderkwadrant linkermamma (pijlen). Door de vorm en de begrenzing is de massa verdacht voor maligniteit, maar door de horizontale ligging is er evenveel kans dat het een veldje klierweefsel betreft, bijvoorbeeld met atypie. BI-RADS 4b, matige verdenking op maligniteit (pathologie: infiltrerend ductaal carcinoom).
Afbeelding vergroten

BI-RADS-classificatie 5: zeer verdacht

De kans op een maligniteit voor een BI-RADS 5-afwijking is meer dan 95 %, dus het gebruik ervan is gereserveerd voor de klassieke maligniteiten. Voorbeelden van deze categorie zijn: een irregulaire, gespiculeerde massa met hoge densiteit en begeleidende verdachte calcificaties (fig. 10).
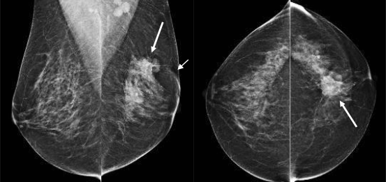
Figuur 10
Gespiculeerde irregulaire massa centraal boven in de linkermamma (grote pijlen) met hierin calcificaties. Tevens huidintrekking (kleine pijl) en vergrote lymfklieren links axillair. BI-RADS 5 (pathologie: infiltrerend ductaal carcinoom).
Afbeelding vergroten

BI-RADS-classificatie 6: histologisch bewezen maligniteit

Deze categorie is bedoeld voor de tweede lijn, voor beeldvormende onderzoeken die gedaan worden nadat er met een biopsie een maligniteit is vastgesteld. Deze categorie wordt bijvoorbeeld gebruikt als patiënte een MRI ondergaat, waarop de bekende mammatumor opnieuw in beeld komt.
Figuur 11
Mammografie met beeld van gynaecomastie linkermamma, BI-RADS 2: benigne.
Afbeelding vergroten
Entreevragen, antwoorden
1.
29-jarige vrouw met palpabele zwelling in de rechtermamma sinds twee maanden. Bij lichamelijk onderzoek is deze los van de onderlaag. Familieanamnese en voorgeschiedenis betreffende mammacarcinoom zijn negatief. Naar wie verwijst u patiënte? Wat is het onderzoek van keuze?
Antwoord: gezien de leeftijd onder de 30 jaar en de lage verdenking op een maligniteit wordt patiënte verwezen naar de afdeling Radiologie voor een echografie van de palpabele afwijking. Indien er sprake van een benigne afwijking, zoals een cyste, kan patiënte gerustgesteld worden. In het geval van een typisch beeld van een fibroadenoom, komt patiënte eenmaal voor echografische controle zes maanden na het eerste onderzoek. Indien de massa dan toch is gegroeid (als regel geldt een toename in diameter van 20 % in 6 maanden) volgt aanvullende mammografie en eventueel punctie, of verwijzing naar de mammapoli [12].
 
2.
53-jarige vrouw met palpabele zwelling sinds een week in het laterale bovenkwadrant linkermamma. Bij lichamelijk onderzoek circa 2 cm groot. Negatieve familieanamnese en voorgeschiedenis. Naar wie verwijst u patiënte? Wat is het onderzoek van keuze?
Antwoord: gezien de klinische verdenking op een maligniteit, hoort patiënte naar de mammapoli te worden verwezen. Zij zal een mammografie ondergaan en aanvullend echografie. Bij verdenking op een maligniteit (BI-RADS 4 of 5) zal aanvullende biopsie plaatsvinden. Ook zal de oksel echografisch worden beoordeeld op het bestaan van vergrote lymfeklieren.
 
3.
Vrouw 27 jaar, palpabele zwelling rechtermamma. Verslag echografie: de palpabele zwelling in het laterale bovenkwadrant rechts op 10 uur komt overeen met geclusterde microcysten, in totaal 27 × 15 mm. BI-RADS 2: benigne. Wat is het beleid voor de huisarts?
Antwoord: BI-RADS 2: benigne, derhalve geen aanvullende diagnostiek of follow-up geïndiceerd.
 
4.
Man met sinds vier weken pijnlijke, palpabele zwelling links retromamillair. Bij lichamelijk onderzoek is de zwelling circa 2 cm groot. Naar wie verwijst u patiënt? Is beeldvorming noodzakelijk?
Antwoord: patiënt wordt verwezen naar de afdeling Radiologie. Bij mannen ouder dan 30 jaar is er een indicatie voor mammografie (fig. 11), daarop is gynaecomastie beter te zien dan op echografie. Bij onduidelijke bevindingen wordt het mammogram aangevuld met echografie en punctie. Bij mannen onder de 30 jaar is de waarschijnlijksheidsdiagnose gynaecomastie zo aannemelijk en de kans op maligniteit zo klein, dat beeldvorming geen aanvullende waarde heeft. Bij atypische klinische bevindingen wordt net als bij jonge vrouwen echografie verricht.
 

L.J. Schijf

radioloog, fellow mammaradiologie, Noordwest Ziekenhuisgroep locatie Alkmaar.

Drs. H.L.S. Go

mammaradioloog, Noordwest Ziekenhuisgroep locatie Alkmaar.

Dr. H.M. Zonderland

mammaradioloog, Academisch Medisch Centrum Amsterdam.

Onze productaanbevelingen

DocsOnline – Vakinformatie voor huisartsen

Met DocsOnline blijft u op de hoogte van de actuele ontwikkelingen in uw vak en bouwt u efficiënt aan uw vakkennis. U krijgt digitale toegang tot zo'n 30 boeken huisartsgeneeskunde en vaktijdschriften. Alles om u nóg beter te maken in uw vak.

BSL Academy mbo Verzorging en Verpleegkunde

Bijblijven

Bijblijven geeft inzicht in de huidige stand van zaken over onderwerpen die u als huisarts in uw dagelijkse praktijk tegenkomt. Bijblijven verschijnt 10 keer per jaar, waarbij in elk nummer een ander thema centraal staat.

share
DELEN

Deel dit onderdeel of sectie (kopieer de link)

  • Optie A:
    Klik op de rechtermuisknop op de link en selecteer de optie “linkadres kopiëren”
  • Optie B:
    Deel de link per e-mail
Titel
Mammaradiologie – welke onderzoeken vraagt de huisarts aan?
Auteurs
L. J. Schijf
Drs. H. L. S. Go
Dr. H. M. Zonderland
Publicatiedatum
08-06-2016
Uitgeverij
Bohn Stafleu van Loghum
Gepubliceerd in
Bijblijven / Uitgave 4/2016
Print ISSN: 0168-9428
Elektronisch ISSN: 1876-4916
DOI
https://doi.org/10.1007/s12414-016-0137-2
1
Mastopathie is geen radiologische diagnose. Het is een klinisch beeld, bestaande uit pijn, vaak premenstrueel, waarbij de mammae vaak hobbelig en gevoelig zijn. Soms gaat dit gepaard met fibrocysteuze afwijkingen, vaak ook niet. Het beeld loopt niet parallel met dense mammae en er is ook geen reden voor extra controles.
 
2
Wanneer er meer dan vijf jaar zijn verstreken na de behandeling van een mammacarcinoom bij patiënten ouder dan 60 jaar, is controle in de tweede lijn niet meer geïndiceerd.
 
1.
go back to reference Lisdonk EH van de, Bosch WJHM van den, Lagro-Janssen ALM. Ziekten in de huisartspraktijk, 4th. ed. Maarssen: Elsevier Gezondheidszorg; 2003.
2.
go back to reference Heiden-van der Loo M van der, Siesling S, Wouters MJWM, Dalen T van, Rutgers EJT, Peeters PHM. Lokale recidieven na operatie voor borstkanker. Verbetering in recente jaren. Ned Tijdschr Geneeskd. 2016;160:A9572.PubMed
3.
go back to reference Gommer AM, Poos MJJC, Voogd AC. Hoe vaak komt borstkanker voor en hoeveel mensen sterven eraan? In: Volksgezondheid Toekomst Verkenning. Bilthoven: RIVM; 2014 (http://www.nationaalkompas.nl).
4.
go back to reference Barlow WE, Lehman CD, Zheng Y, Ballard-Barbash R, Yankaskas BC, Cutter GR, et al. Performance of diagnostic mammography for women with signs or symptoms of breast cancer. J Natl Cancer Inst. 2002;94:1151–9.CrossRefPubMed
5.
go back to reference Skaane P, Bandos AI, Gullien R, Eben EB, Ekseth U, Haakenaasen U, et al. Prospective trial comparing full-field digital mammography (FFDM) versus combined FFDM and tomosynthesis in a population-based screening programme using independent double reading with arbitration. Eur Radiol. 2013;23:2061–71.CrossRefPubMedPubMedCentral
6.
go back to reference http://www.oncoline.nl/mammacarcinoom. Geraadpleegd 30 mei 2016. Versie: 2.0, gewijzigd 2012-02-13, Verantwoording: NABON, Type: Landelijke richtlijn Acces date 30-05-2016.
7.
go back to reference Freer PE. Mammographic breast density: impact on breast cancer risk and implications for screening. Radiographics. 2015;35:302–15.CrossRefPubMed
8.
go back to reference Emaus MJ, Bakker MF, Peeters PH, Loo CE, Mann RM, Jong MD de, et al. MR imaging as an additional screening modality for the detection of breast cancer in women aged 75 years with extremely dense breasts: the DENSE trial study design. Radiology. 2015;277(2):527–37.CrossRefPubMed
9.
go back to reference Groot J de, Broeders MJM, Branderhorst W, Heeten GJ den, Grimbergen CA. A novel approach to mammographic breast compression: improved standardization and reduced discomfort by controlling pressure instead of force. Med Phys. 2013;40:081901.CrossRefPubMed
10.
go back to reference Berg WA, Blume JD, Cormack JB, Mendelson EB, Lehrer D, Böhm-Vélez M, et al. Combined screening with ultrasound and mammography vs mammography alone in women at elevated risk of breast cancer. JAMA. 2008;299(18):2151–63, Erratum in JAMA 2010;303(15):1482.CrossRefPubMedPubMedCentral
11.
go back to reference Heeten GJ den, Grimbergen CA. Rekenregel implantaten. Geraadpleegd via http://www.lrcb.nl/uploads/userfiles/files/Implant_rule_sectie2014.pdf op 30 mei 2016.
12.
go back to reference Kuhl CK. MRI of the breast. Review. Eur Radiol. 2000;10:46–58.CrossRefPubMed
13.
go back to reference Bock GH de, Beusmans GHMI, Hinloopen RJ, Corsten MC, Salden NMA, Scheele ME, et al. NHG-Standaard Diagnostiek van mammacarcinoom (tweede herziening). Geraadpleegd via https://www.nhg.org/standaarden/volledig/nhg-standaard-diagnostiek-van-mammacarcinoom op 30 mei 2016.
14.
go back to reference D’Orsi CI, Sickles EA, Mendelson EB, Morris EA. et al. ACR BI-RADS Atlas, Breast Imaging Reporting and Data System. Reston: American College of Radiologie; 2013.