Ga naar de hoofdinhoud
Top

Insertional Achilles tendinopathy is associated with arthritic changes of the posterior calcaneal cartilage: a retrospective study

  • Open Access
  • 01-12-2015
  • Research
Gepubliceerd in:
share
DELEN

Deel dit onderdeel of sectie (kopieer de link)

  • Optie A:
    Klik op de rechtermuisknop op de link en selecteer de optie “linkadres kopiëren”
  • Optie B:
    Deel de link per e-mail
insite
ZOEKEN

Abstract

Background

To characterize the histological changes within the posterior calcaneal cartilage in patients with insertional Achilles tendinopathy (IAT) and test the relationships between severity of the histological changes and level of functional impairment.

Methods

Sixteen posterior calcaneal wall specimens of patients with IAT who had posterior calcaneal ostectomy were investigated. Hematoxylin-eosin stain, Toluidine-blue stain, Polarized light microscopy, and Masson Trichrome stain were used to characterize histological changes. Changes within the posterior calcaneal wall cartilage were graded according to Osteoarthritis Research Society International (OARSI) criteria. Functional scores were completed at the time of surgery according to the American Orthopedic Foot and Ankle Society (AOFAS) Ankle-Hindfoot score.

Results

Mean age of patients was 48.9 years. Histological findings within the posterior calcaneal wall cartilage specimens were consistent with arthritic changes. OARSI grading indicated Grade 2 changes in one specimen, mean AOFAS score 60; Grade 3 changes in three specimens, AOFAS score 73.7 ± 2.5; Grade 4 changes in four specimens, AOFAS score 44 ± 21.4; Grade 5 changes in eight specimens, AOFAS score 48 ± 9.9. Higher OARSI grades were correlated with lower AOFAS scores (rho = −0.65, p < 0.01).

Conclusions

Degenerative arthritic changes of the posterior calcaneal wall cartilage characterize patients with IAT and the severity of such changes is directly correlated to the degree of functional impairment.

Competing interests

The authors declare that they have no competing interests.

Authors’ contributions

EP: Data analisys and writting paper. YO:Data analisys and writting paper. YB: Data analisys. EE: Pathological study. MN: Work design and reponsable. IH: Data Analisys and paper corrections. All authors read and approved the final manuscript.

Background

Insertional Achilles tendinopathy (IAT) is a chronic degenerative process which often affects young active adults. Etiological factors include anatomical dysmorphysm of the posterior calcaneal tubercle, mechanical overload, inflammatory response, and chronic overuse. In one study, the annual incidence in 39 runners was around 10 % [1]. In another study, the cumulative incidence of Achilles tendinopathy before the age 45 was 42 % in former top level middle and long-distance runners compared to only 3 % in matched non-athletic controls with adjusted odds ratio of 31.2 (95 % confidence interval 13.5–71.8, p < 0.001) [2].
Non-operative management includes activity modification, physical therapy with eccentric loads, and injections to the retrocalcaneal bursa [3]. In selected patients, when nonoperative treatment fails, surgery may be indicated. The rationale of current surgical techniques for IAT is based on the theory that repeated friction between the anterior aspect of the tendon and the posterior calcaneal wall is a major factor associated with the development of IAT, and therefore decompression in this area can result in reducing contact pressure and repeated friction, primarily during heel dorsiflexion [4]. This is most popularly achieved by ostectomy of the posterior calcaneal wall, and good clinical outcomes have been described following such procedures [5]. Nevertheless, this rationale of repeated tendon friction and overload as the main reason for the development of IAT has been questioned by other observations which in fact showed a strain shielding effect at the anterior surface of the Achilles tendon during repeated heel dorsiflexion that may actually protect the tendon in this specific area from repeated overload injuries [6]. Moreover, other associated factors have also been described, such as systemic inflammatory conditions (seronegative spondyloarthropathies, gout, sarcoidosis, diffuse idiopatic skeletal hyperostosis) [7, 8] and use of some medications such as steroids, contraceptives and hormone replacement therapy [3, 9]. These observations imply that the evolution of IAT may depend on multiple factors, some of which may not be completely understood.
The Achilles tendon insertion complex is composed of three parts: (1) the entheseal fibrocartilage at the tendon-bone junction; (2) the sesamoid fibrocartilage in the deep surface of the tendon; and (3) the periosteal fibrocartilage which covers the opposing surface of the posterior calcaneal wall [10]. In this regard, the degenerative process in each of these three parts may, in theory, play a role in the evolution of IAT. Until today, histological studies focused on changes within the tendon [11] or on changes within the fibrocartilage as observed in animal models only [12]. To the best of our knowledge, the histology of the posterior calcaneal wall cartilage has never been specifically investigated in patients with IAT. The purpose of this study was therefore to characterize the histological changes of the posterior calcaneal wall cartilage in patients with IAT. We hypothesized that IAT is associated with degenerative arthritic changes of the posterior calcaneal wall cartilage, and that the severity of arthritic histological changes is correlated with the severity of functional impairment.

Methods

Between 2000 and 2007, 38 patients underwent surgery in our foot and ankle service by several orthopedic surgeons due to IAT after fulfilling the following criteria: (1) Failed nonoperative treatment for at least 6 months (rest, physiotherapy, shock wave therapy, steroid injection), and (2) Ultrasound and MRI showing attritional changes at the tendon insertion with increased signal at the tendon or adjacent calcaneal tubercle on T2 MRI supportive of the pathology [13]. The surgery included resection of the posterior calcaneal wall as previously described [5]. For the purpose of this study we included only patients who have completed the American Orthopedic Foot and Ankle Society (AOFAS) Ankle-Hindfoot score [14] at the time of surgery and who had as well a complete histopathological assessment of the posterior calcaneal wall which was excised during surgery. Only patients who had both tests were included in this study, which were all related to one senior orthopedic surgeon (MN) who was leading the study. Two patients who had previous surgery at the posterior calcaneal insertion (previous posterior calcaneal ostectomy or reattachment of Achilles tendon) were excluded. The study therefore included 16 posterior calcaneal wall specimens of 15 patients who underwent posterior calcaneal ostectomy.

Histological assessment protocol

Hematoxylin-eosin stain was used to delineate soft tissue and cells [13]. Toluidine-blue stain was used to evaluate the severity of degenerative changes within the cartilage [15]. Polarized light microscopy was used to demonstrate early degenerative changes in the cartilage collagen [13]. Masson trichrome stain was used to confirm the presence of fibrous (collagenous) tissue [16]. Severity of changes within the posterior calcaneal wall cartilage was graded according to the Osteoarthritis Research Society International (OARSI) histological criteria [17]. This grading system is considered adequate for cases of mild osteoarthritis and showed high reliability with relatively limited observer experience needed for proper use [18]. The system uses five basic staining procedures appropriate for macroscopic (Indian ink) and histologic (HE/hematoxylin-eosin) visualization and scoring of cartilage proteoglycan and collagen content (toluidine blue/safranin O, and picrosirius red/Goldner’s trichrome), grading the tissue into severity, where 0 describes normal tissue and 5 describes severe osteoarthritis. Grade 6 indicates the worst disease with severe deformity and end-stage bone remodeling. Functional scores were completed at the time of surgery using the American Orthopedic Foot and Ankle Society (AOFAS) Ankle-Hindfoot score which incorporates measures such as pain, gait, range of motion, alignment, and function into one score, ranging 0–100 points. Higher score indicates better function [14]. The study was approved by our Ethical Committee Institutional Review Board (IRB) and patients signed informed consent.

Statistics

Descriptive statistics included means, ranges, and standard deviations for demographic variables, AOFAS scores, and histological grade. Spearman’s rank correlation coefficient was used to test the relationships between the AOFAS scores and the OARSI Grade. Level of significance was set at p < 0.05. IBM, SPSS-22 statistical package software was used for analysis.

Results

Mean age of the patients was 48.9 years (range 25 to 68 years) (Table 1). There were 11 men. Although the majority of the group was involved in intensive sports, primarily running, four patients had accompanying inflammatory disease which included seronegative spondyloarthropathy, systemic lupus erithematosus, anthiphospholipid antibody syndrome, and ankylosing spondylitis, and three patients had type 2 diabetes. Prior to surgery, all patients were treated with nonsteroidal anti-inflammatory drugs and physiotherapy. Nine patients had local steroid injections and eight had extra-corporeal shock-wave treatment.
Table 1
Patient characteristics
Characteristic
Patients (total n = 16)
Sex [M]
11 (69 %)
Age, years [Mean, s.d., range]
48.9 ± 12.3 (25–68)
Duration of symptoms [Mean, s.d.]
2.2 ± 2.1 years
Background
 
Diabetes type 2
One (6 %)
Inflammatory disease
Four (25 %)
Intensive sports
Nine (56 %)
Specific treatments
 
Steroid injection
Nine (56 %)
Shock waves
Eight (50 %)
M males; s.d. standard deviation
OARSI grading of the posterior calcaneal wall cartilage indicated grade 2 changes in one specimen, grade 3 changes in three specimens, grade 4 changes in four specimens, and grade 5 changes in eight specimens. The patient who underwent bilateral surgery had the same grade in both operations and had a systemic inflammatory condition. Mean AOFAS score was 60 in the patient with OARSI grade 2; 73.7 ± 2.5 in patients with OARSI grade 3; 44 ± 21.4 in patients with OARSI grade 4; and 48 ± 9.9 in patients with OARSI grade 5 (Fig. 1). Higher OARSI grades were correlated with lower AOFAS scores (rho = −0.65, p < 0.01).
Fig. 1
Mean AOFAS Ankle-Hindfoot scores for each OARSI histological grade. OARSI grades were correlated with AOFAS scores (rho = −0.65, p < 0.01). When OARSI scores are higher (more arthritic changes) the AOFAS score is lower
Afbeelding vergroten
The following histological findings characterized the specimens.
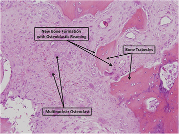
  • Bone findings: The subchondral bone showed signs of desiccation, destruction of fibroblasts and blood vessels, with osteoclasts, remodeling, fibrous tissue and fat necrosis in the nearby tissue. Bone trabeculae were thin and the bone marrow was fatty and edematous. Cortical bone with new bone formation zones and reaming of osteoblasts and osteoclasts was seen (Figs. 2 and 3).
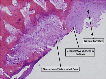
    Fig. 2
    Eburnation of subchondral bone. Bone destruction and formation of tissue deficit. Hematoxilin eosin, 40x
    Afbeelding vergroten
    Fig. 3
    Destruction and construction of new bone. Bone trabecules with osteoblast cover. Osteoclasts scattered in the granulation tissue. Hematoxilin eosin, 100x
    Afbeelding vergroten
  • Synovium findings: Adjacent to the Achilles tendon, degenerative mucoids were present with proliferation of synovial cells and lymphoplasmocytic perivascular infiltration. Hypertrophy and hyperplasia with papillary formation and numerous blood vessels were observed along with severe edema with follicles and lymphoid infiltrate. Masson histological coloration demonstrated synovial fibrotic changes.
  • Cartilage findings: Significant degenerative changes, edema, deep cracks, and fragmentation into calcified zone were observed (Fig. 4). Fibrinoid changes with loose bodies were seen. Masson staining demonstrated irregularities of the collagen fibers with eburnation of the cartilage to subchondral bone. Regenerative changes were found with chondrocytes in the area (Fig. 5).
    Fig. 4
    Fibrillation and cracks in the cartilage Hematoxilin eosin, 40x
    Afbeelding vergroten
    Fig. 5
    Groups of chondrocytes thrive (healing). Hematoxilin eosin, 100x
    Afbeelding vergroten
  • Tendon findings: In a minority of samples, scattered mucoid degenerative changes with multiple zones of filtrated blood vessels and lymphocitary infiltrate around the nearby fat tissue were observed. We noticed separation of fibers with the formation of cracks in the tendon (Fig. 6). Gross calcifications were found in areas of cartilage tendon transition.
    Fig. 6
    Mucoid changes and cracks in the tendon. Hematoxilin eosin, 40x
    Afbeelding vergroten

Discussion

The main finding of this study was that degenerative arthritic changes of the posterior calcaneal wall cartilage characterized patients with IAT, and that the severity of such changes was correlated with the degree of functional impairment. This observation was based on standard histological stains and findings typical of cartilage wear and tear which result in arthritic degeneration [19]. These findings included erosions of cartilage, hypertrophic and hyperplastic changes in the chondrocytes, remodeling and thickening of adjacent trabeculae, peripheral osteophytes, osteosclerosis, and subchondral cysts [19]. To the best of our knowledge, this observation has not been previously described in patients with IAT, and it may ultimately contribute to the understanding of the pathogenesis and associated contributing factors involved in IAT.
Patients with IAT who do not respond to non-operative management show good clinical outcomes following posterior calcaneal wall ostectomy [5]. The reason for functional improvement and decrease in pain levels following such a procedure is not completely understood. Simple mechanical decompression of the retrocalcaneal space may provide a partial explanation. However, based on the current findings, it can also be argued that by removing degenerated cartilage and exposing the subchondral bone and bone marrow progenitor cells, new fibrocartilage can form within a few weeks. This fibrocartilage may eventually restore the posterior coverage of the calcaneus in a manner that resembles the process observed after removing degenerated cartilage and releasing bone marrow progenitor cells during microfracture of osteochondritis dissecans or other types of degenerated cartilage surfaces in the ankle and knee joints [20]. In the majority of the specimens, we did not observe any inflammatory changes within the tendon. This may further support the fact that fissuring at the tendon insertion, which may contribute to dysfunction, is the result of a process that begins at the adjacent cartilage, and not at the tendon itself. The correlation found between the severity of arthritic changes in the posterior calcaneal wall cartilage and the severity of functional impairment implies that arthritis-modifying agents (IL-1 inhibitors, hyaluronic acid injections, platelet-rich plasma, glucosamine oral supplements, others) [2123] may be applicable in the treatment of IAT. The clinical usefulness of such agents for the treatment of IAT should yet be tested in properly randomized prospective clinical trials in the future.
Limitations of this study include the relatively small series, the retrospective design with multiple treatments before surgery, some of which may have had some effect on the histological appearance of the specimens’ cartilage, and lacking a control group. Pooling the analysis of patients with and without systemic inflammatory disease may be another potential limitation. It was not however realistic to perform a powerful subgroup analysis in this relatively small series in this respect, but we concur this potential limitation should be taken into account in larger prospective studies that may be conducted in the future with more strict inclusion criteria.

Conclusion

In conclusion, degenerative arthritic changes of the posterior calcaneal wall cartilage characterize patients with IAT, and the severity of such changes is correlated with the degree of functional impairment. Arthritis-modifying treatments may thus be beneficial in these cases, in addition to physical therapy and load reduction interventions.
Open Access This article is distributed under the terms of the Creative Commons Attribution 4.0 International License (http://creativecommons.org/licenses/by/4.0/), which permits unrestricted use, distribution, and reproduction in any medium, provided you give appropriate credit to the original author(s) and the source, provide a link to the Creative Commons license, and indicate if changes were made. The Creative Commons Public Domain Dedication waiver (http://creativecommons.org/publicdomain/zero/1.0/) applies to the data made available in this article, unless otherwise stated.

Competing interests

The authors declare that they have no competing interests.

Authors’ contributions

EP: Data analisys and writting paper. YO:Data analisys and writting paper. YB: Data analisys. EE: Pathological study. MN: Work design and reponsable. IH: Data Analisys and paper corrections. All authors read and approved the final manuscript.
share
DELEN

Deel dit onderdeel of sectie (kopieer de link)

  • Optie A:
    Klik op de rechtermuisknop op de link en selecteer de optie “linkadres kopiëren”
  • Optie B:
    Deel de link per e-mail
Titel
Insertional Achilles tendinopathy is associated with arthritic changes of the posterior calcaneal cartilage: a retrospective study
Auteurs
Ezequiel Palmanovich
Yael Oshri
Yaron S. Brin
Evgeny Edelshtein
Meir Nyska
Iftach Hetsroni
Publicatiedatum
01-12-2015
Uitgeverij
BioMed Central
Gepubliceerd in
Journal of Foot and Ankle Research / Uitgave 1/2015
Elektronisch ISSN: 1757-1146
DOI
https://doi.org/10.1186/s13047-015-0103-8
1.
go back to reference Lysholm J, Wiklander J. Injuries in runners. Am J Sports Med. 1987;15:168–71.CrossRefPubMed
2.
go back to reference Kujala UM, Sarna S, Kaprio J. Cumulative incidence of Achilles tendon rupture and tendinopathy in male former elite athletes. Clin J Sport Med. 2005;15:133–5.CrossRefPubMed
3.
go back to reference Irwin TA. Current concepts review: insertional Achilles tendinopathy. Foot Ankle Int. 2010;31:933–9. doi:10.3113/FAI.2010.0933.CrossRefPubMed
4.
go back to reference Nyska M, Nguyen A, Parks B, Shabat S, Myerson M. The Loads in the retrocalcaneal bursa – a dynamic cadaveric study. J Bone Joint Surg Br. 2003;85-B(Suppl III):244.
5.
go back to reference Oshri Y, Palmanovich E, Brin YS, Karpf R, Masrawe S, Kish B, et al. Chronic insertional Achilles tendinopathy: surgical outcomes. Muscles Ligaments Tendons J. 2012;2:91–5.PubMedPubMedCentral
6.
go back to reference Lyman J, Weinhold PS, Almekinders LC. Strain behavior of the distal Achilles tendon: implications for insertional Achilles tendinopathy. Am J Sports Med. 2004;32:457–61.CrossRefPubMed
7.
go back to reference Myerson MS, McGarvey W. Disorders of the Achilles tendon insertion and Achilles tendinitis. Inst Course Lect. 1999;48:211–8.
8.
go back to reference Novacheck TF. Running injuries: a biomechanical approach. Inst Course Lect. 1998;47:397–406.
9.
go back to reference Holmes GB, Lin J. Etiologic factores associated with symptomatic achilles tendinopathy. Foot Ankle Int. 2006;27:952–9.PubMed
10.
go back to reference Benjamin M, Ralphs JR. Fibrocartilage in tendons and ligaments ̶ an adaptation to compressive load. J Anat. 1998;193:481–94.CrossRefPubMedPubMedCentral
11.
go back to reference Rufai A, Ralphs JR, Benjamin M. Structure and histopathology of the insertional region of the human Achilles tendon. J Orthop Res. 1995;13:585–93.CrossRefPubMed
12.
go back to reference Rufai A, Ralphs JR, Benjamin M. Ultrastructure of fibrocartilage at the insertion of the rat Achilles tendon. J Anat. 1996;189:185–91.PubMedPubMedCentral
13.
go back to reference Sundararajan PP, Wilde TS. Radiographic, clinical, and magnetic resonance imaging analysis of insertional Achilles tendinopathy. J Foot Ankle Surg. 2014;53:147–51.CrossRefPubMed
14.
go back to reference Kitoaka HB, Alexander IJ, Adelaar RS, Nunley JA, Myerson MS, Sanders M. Clinical rating systems for the ankle-hindfoot, midfoot, hallux, and lesser toes. Foot Ankle Int. 1994;15:349–53.CrossRef
15.
go back to reference Schmitz N, Laverty S, Kraus VB, Aigner T. Basic methods in histopathology of joint tissues. Osteoarthritis Cartilage. 2010;18 Suppl 3:S113–6.CrossRefPubMed
16.
go back to reference Masson P. Some histological methods. Trichrome staining and their preliminary technique. J Techn Meth. 1929;12:75–90.
17.
go back to reference Pritzker KP, Gay S, Jimenez SA, Ostergaard K, Pelletier JP, Revell PA, et al. Osteoarthritis cartilage histopathology: grading and staging. Osteoarthritis Cartilage. 2006;14:13–29.CrossRefPubMed
18.
go back to reference Custers RJ, Creemers LB, Verbout AJ, van Rijen MH, Dhert WJ, Saris DB. Reliability, reproducibility and variability of the traditional histologic/histochemical grading system vs the new OARSI osteoarthritis cartilage histopathology assessment system. Osteoarthritis Cartilage. 2007;15:1241–8.CrossRefPubMed
19.
go back to reference Goroll AH, Mulley AJ. Primary Care Medicine. Office Evaluation and Management of the Adult Patient. Sixthth ed. Philadelphia: Lippincott Williams & Wilkins; 2009.
20.
go back to reference Solheim E, Hegna J, Inderhaug E, Oyen J, Harlem T, Strand T. Results at 10–14 years after microfracture treatment of articular cartilage defects in the knee. Knee Surg Sports Traumatol Arthrosc 2014 Nov 23 [Epub ahead of print]
21.
go back to reference Lai LP, Stitik TP, Foye PM, Georgy JS, Patibanda V, Chen B. Use of Platelet Rich Plasma in Intra-Articular Knee Injections for Osteoarthritis: A Systematic Review. PM R. 2015;7:637–48.CrossRefPubMed
22.
go back to reference Raeissadat SA, Rayegani SM, Hassanabadi H, Fathi M, Ghorbani E, Babaee M, et al. Knee Osteoarthritis Injection Choices: Platelet- Rich Plasma (PRP) Versus Hyaluronic Acid (A one-year randomized clinical trial). Clin Med Insights Arthritis Musculoskelet Disord. 2015;8:1–8.PubMedPubMedCentral
23.
go back to reference Laudy AB, Bakker EW, Rekers M, Moen MH. Efficacy of platelet-rich plasma injections in osteoarthritis of the knee: a systematic review and meta-analysis. Br J Sports Med. 2015;49:657–72.CrossRefPubMed