Ga naar de hoofdinhoud
Top

Extensive right coronary artery thrombosis

  • 01-03-2009
  • editor's page
Gepubliceerd in:
share
DELEN

Deel dit onderdeel of sectie (kopieer de link)

  • Optie A:
    Klik op de rechtermuisknop op de link en selecteer de optie “linkadres kopiëren”
  • Optie B:
    Deel de link per e-mail

Extract

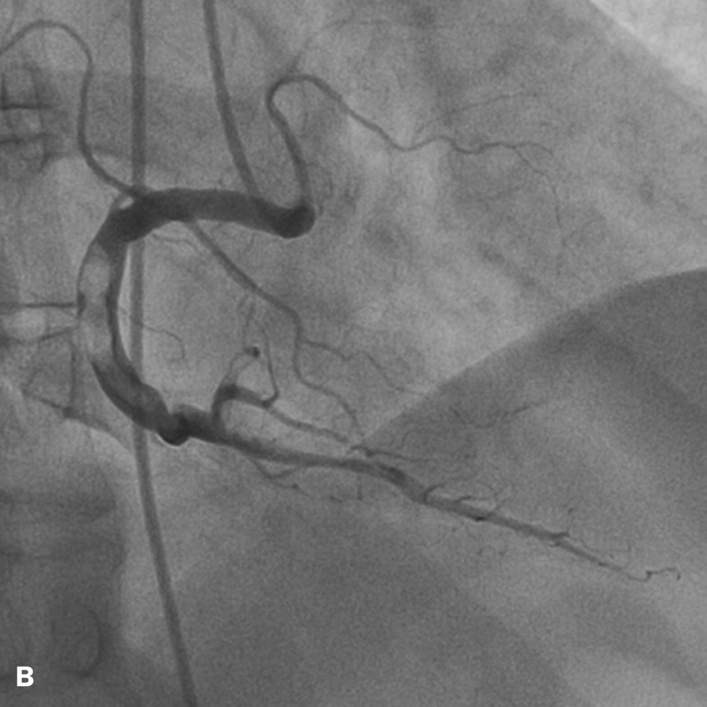
A 65-year-old man presented with a non-ST-elevation acute coronary syndrome. His medical history was unremarkable. Apart from a brother, who sustained a myocardial infarction at the age of 40, no cardiovascular risk factors were present. Coronary angiography revealed normal left anterior descending and circumflex arteries. The right coronary artery was subtotally occluded with an extensive thrombus running into the posterolateral branch (figures 1A and B). Despite appropriate medical treatment, intermittent chest pain persisted. The patient underwent a percutaneous coronary intervention with mechanical removal of the thrombus by aspiration followed by balloon dilatation. During the 12 hours preceding this procedure a glycoprotein IIb/IIIa receptor antagonist was continuously infused, while aspirin, clopidogrel, and a low-molecular-weight heparin (LMWH) were also administered. The intervention was only partially successful with limited restoration of right coronary perfusion resulting in a TIMII flow. Following the procedure, intermittent chest pain persisted initially but subsided after a few days of continued administration of aspirin, clopidogrel and an LMWH.
Afbeelding vergroten
Afbeelding vergroten
Titel
Extensive right coronary artery thrombosis
Auteurs
R. J. Hassink
H. E. Haerkens-Arends
M. C. G. Daniels
Publicatiedatum
01-03-2009
Uitgeverij
Bohn Stafleu van Loghum
Gepubliceerd in
Netherlands Heart Journal / Uitgave 3/2009
Print ISSN: 1568-5888
Elektronisch ISSN: 1876-6250
DOI
https://doi.org/10.1007/BF03086231
Deze inhoud is alleen zichtbaar als je bent ingelogd en de juiste rechten hebt.