Ga naar de hoofdinhoud
Top

Dark clouds of contrast

  • Open Access
  • 14-05-2019
  • Image Puzzle – Question
Gepubliceerd in:
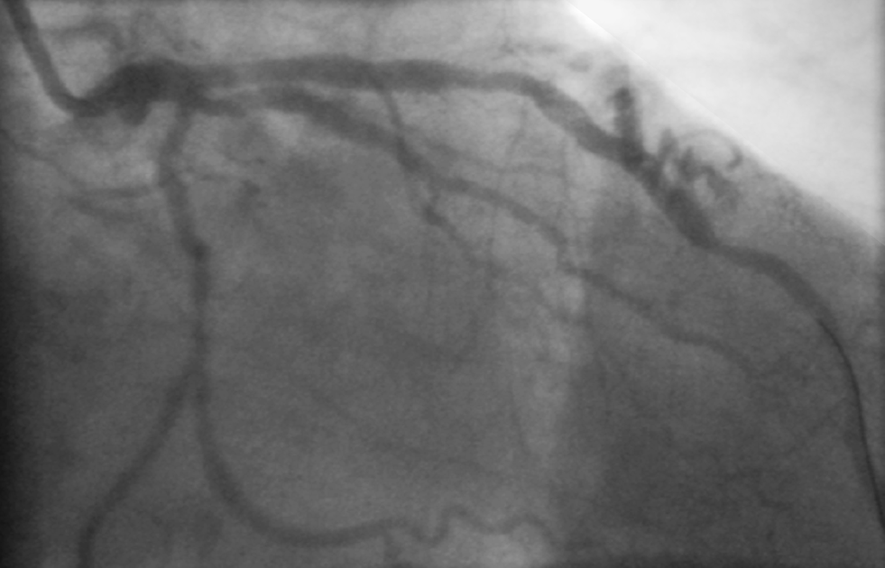
Video 1. Coronary angiography of our patient

Electronic supplementary material

The online version of this article (https://doi.org/10.1007/s12471-019-1257-y) contains supplementary material, which is available to authorized users.
A 59-year-old male patient was admitted to the Coronary Care Unit because of a non-ST-elevation acute coronary syndrome. An early angiography showed two-vessel coronary artery disease of a large obtuse marginal branch and the left anterior descending artery with two lesions (Fig. 1 and online video). What is your diagnosis?
Fig. 1
Still image of right anterior oblique (RAO) view of the coronary angiography of our patient (see also the online video (online supplement))
Afbeelding vergroten

Answer

You will find the answer elsewhere in this issue.
Open Access This article is distributed under the terms of the Creative Commons Attribution 4.0 International License (http://creativecommons.org/licenses/by/4.0/), which permits unrestricted use, distribution, and reproduction in any medium, provided you give appropriate credit to the original author(s) and the source, provide a link to the Creative Commons license, and indicate if changes were made.
Titel
Dark clouds of contrast
Auteurs
M. Boulaksil
J. E. M. Mellema
T. J. F. ten Cate
Publicatiedatum
14-05-2019
Uitgeverij
Bohn Stafleu van Loghum
Gepubliceerd in
Netherlands Heart Journal / Uitgave 10/2019
Print ISSN: 1568-5888
Elektronisch ISSN: 1876-6250
DOI
https://doi.org/10.1007/s12471-019-1257-y

Caption Electronic Supplementary Material

Video 1. Coronary angiography of our patient