Ga naar de hoofdinhoud
Top

A heart shaped coronary aneurysm

  • Open Access
  • 28-08-2025
  • Heart Beat
Gepubliceerd in:
share
DELEN

Deel dit onderdeel of sectie (kopieer de link)

  • Optie A:
    Klik op de rechtermuisknop op de link en selecteer de optie “linkadres kopiëren”
  • Optie B:
    Deel de link per e-mail
insite
ZOEKEN
Figure series from the case studies.

Supplementary Information

The online version of this article (https://doi.org/10.1007/s12471-025-01980-1) contains supplementary material, which is available to authorized users.
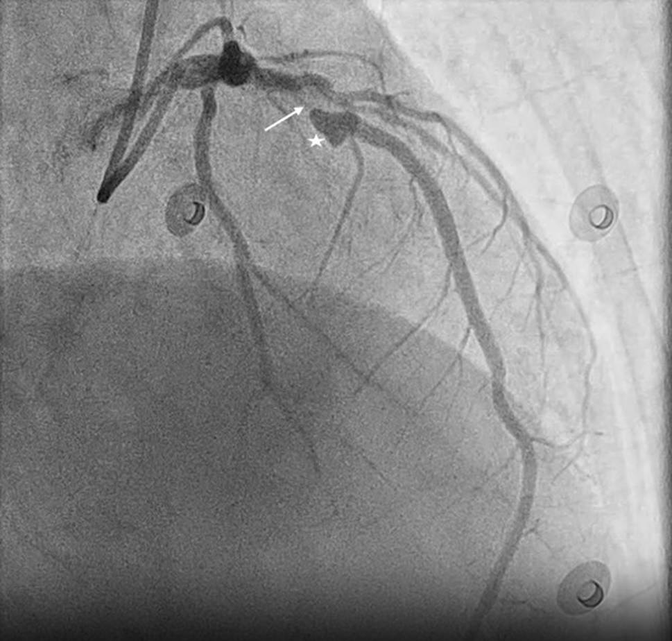
A 72-year-old woman with a history of hypertension and recently diagnosed heart failure underwent invasive coronary angiography, revealing a significant lesion of the left anterior descending with a heart-shaped aneurysm (Fig. 1). Following multidisciplinary Heart Team discussion, she underwent a successful percutaneous coronary intervention.
Fig. 1
Heart-shaped coronary artery aneurysm indicated by a star, left anterior descending indicated by an arrow
Afbeelding vergroten
Coronary artery aneurysm (CAA), a focal dilation of coronary segments of at least 1.5 times the adjacent normal segment, is found in up to 5% of patients undergoing coronary angiography [1] and is associated with poor long-term outcome [2]. CAA is usually found incidentally on cardiac imaging; however, it may present with stable angina or acute coronary syndrome [3]. Two forms exist: saccular and fusiform aneurysms. The pathogenesis is not well known. Genetic factors, atherosclerotic risk factors, certain vasculitides, and iatrogenic factors may be the cause [3]. Management is challenging and includes medical therapy, surgical excision, coiling, percutaneous coronary intervention, and coronary bypass grafting [4].
Open Access This article is licensed under a Creative Commons Attribution 4.0 International License, which permits use, sharing, adaptation, distribution and reproduction in any medium or format, as long as you give appropriate credit to the original author(s) and the source, provide a link to the Creative Commons licence, and indicate if changes were made. The images or other third party material in this article are included in the article’s Creative Commons licence, unless indicated otherwise in a credit line to the material. If material is not included in the article’s Creative Commons licence and your intended use is not permitted by statutory regulation or exceeds the permitted use, you will need to obtain permission directly from the copyright holder. To view a copy of this licence, visit http://creativecommons.org/licenses/by/4.0/.
share
DELEN

Deel dit onderdeel of sectie (kopieer de link)

  • Optie A:
    Klik op de rechtermuisknop op de link en selecteer de optie “linkadres kopiëren”
  • Optie B:
    Deel de link per e-mail
Titel
A heart shaped coronary aneurysm
Auteurs
Charlotte Snik
Mustafa Koksu-Ilhan
Saman Rasoul
Publicatiedatum
28-08-2025
Uitgeverij
BSL Media & Learning
Gepubliceerd in
Netherlands Heart Journal / Uitgave 11/2025
Print ISSN: 1568-5888
Elektronisch ISSN: 1876-6250
DOI
https://doi.org/10.1007/s12471-025-01980-1

Supplementary Information

Figure series from the case studies.
1.
go back to reference Swaye PS, et al. Aneurysmal coronary artery disease. Circulation. 1983;67:134–8.CrossRefPubMed
2.
go back to reference Kawsara A, et al. Management of Coronary Artery Aneurysms. Jacc: Cardiovasc Interv. 2018;11:1211–23.PubMed
3.
go back to reference Cohen P, O’Gara PT. Coronary artery aneurysms: a review of the natural history, pathophysiology, and management. Cardiol Rev. 2008;16(6):301–4.CrossRefPubMed
4.
go back to reference Vadalà G, et al. Coronary Arteries Aneurysms: A Case-Based Literature Review. Diagnostics. 2022;12:2534.CrossRefPubMedPubMedCentral