Ga naar de hoofdinhoud
Top

A change of heart

  • Open Access
  • 01-08-2014
  • Rhythm Puzzle Answer
Gepubliceerd in:
share
DELEN

Deel dit onderdeel of sectie (kopieer de link)

  • Optie A:
    Klik op de rechtermuisknop op de link en selecteer de optie “linkadres kopiëren”
  • Optie B:
    Deel de link per e-mail
insite
ZOEKEN

Rhythm puzzle-answer

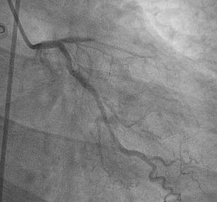
The ECG shows ST elevation in leads I, II, aVL, and V1–V6 representing acute myocardial infarction of the anterolateral wall. Coronary angiogram showed an occlusion of the mid left anterior descending artery (LAD) (Fig. 2). After reperfusion it became clear that the LAD passed over the apex, explaining the ST elevations in the inferior leads.
Fig. 2
Occlusion of the mid left anterior descending artery (LAD)
Afbeelding vergroten
Most notably, there is a clear ST alternans in all leads. ST alternans has been studied in several fundamental animal studies [1, 2]. Alternation of action potential duration and amplitude in the ischaemic area causes alternating variation in injury current, underlying the alternation in ST-segment elevation. This phenomenon only occurs during the first few minutes of acute ischaemia, which explains why it is rarely observed in daily practice [2, 3]. ST alternans is considered a harbinger of ventricular fibrillation [2, 3].
Conclusion: acute anterolateral myocardial infarction with ST alternans.
Open Access This article is distributed under the terms of the Creative Commons Attribution License which permits any use, distribution, and reproduction in any medium, provided the original author(s) and the source are credited.

Onze productaanbevelingen

Netherlands Heart Journal

Het Netherlands Heart Journal wordt uitgegeven in samenwerking met de Nederlandse Vereniging voor Cardiologie. Het tijdschrift is Engelstalig en wordt gratis beschikbaa ...

share
DELEN

Deel dit onderdeel of sectie (kopieer de link)

  • Optie A:
    Klik op de rechtermuisknop op de link en selecteer de optie “linkadres kopiëren”
  • Optie B:
    Deel de link per e-mail
Titel
A change of heart
Auteurs
F. M. Zimmermann
E. van Mierlo
A. Meijer
L. R. Dekker
Publicatiedatum
01-08-2014
Uitgeverij
Bohn Stafleu van Loghum
Gepubliceerd in
Netherlands Heart Journal / Uitgave 7-8/2014
Print ISSN: 1568-5888
Elektronisch ISSN: 1876-6250
DOI
https://doi.org/10.1007/s12471-014-0567-3
1.
go back to reference Kléber AG, Janse MJ, van Capelle FJ, et al. Mechanism and time course of S-T and T-Q segment changes during acute regional myocardial ischemia in the pig heart determined by extracellular and intracellular recordings. Circ Res. 1978;42:603–13.CrossRefPubMed
2.
go back to reference Cinca J, Janse MJ, Moréna H, et al. Mechanism and time course of the early electrical changes during acute coronary artery occlusion. Chest. 1980;77(4):499–505.CrossRefPubMed
3.
go back to reference Surawicz B, Fisch C. Cardiac mechanical and electrical alternans. JACC. 1993;20:483–99.CrossRef